When compared to other body cells, which characteristic of stem cells is the most important for
therapeutic uses?
Less differentiation
Less excretion
Lower rate of reproduction
Lower rate of metabolism
Ans: A
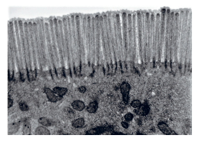
2. The micrograph shows part of a cell.

Which principal function is this cell likely to have, as judged by its cell structure and organelles?
A High rate of protein processing
B High rate of absorption
C High rate of photosynthesis
D High rate of movement
Ans: B
3. Which molecule regulates the fluidity of cell membranes?
Phospholipid
Cholesterol
Glycoprotein
Peripheral protein
Ans: B
4. Which type of transportation happens in the sodium–potassium pump?
Facilitated diffusion
Osmosis
Simple diffusion
Active transport
Ans: D
5. Which molecule represents a lipid?

Ans: C
6. The relationship between body mass index (BMI) and total blood cholesterol was investigated
in children with Smith–Magenis Syndrome, a rare genetic disorder which may lead to
high blood cholesterol levels.
What can be deduced from the graph?
High BMI causes high blood cholesterol.
High BMI correlates with high blood cholesterol.
Low BMI is always associated with low blood cholesterol.
Low BMI is caused by low blood cholesterol.
Ans: B
7. Levels of catalase activity were measured in tree seedlings exposed for varying lengths
of time to a constant low-level gamma radiation.
Which conclusion is supported by the data?
Exposure to low-level gamma radiation reduces catalase activity.
There is a positive relationship between exposure time and catalase activity.
Gamma radiation heats up the seedlings, denaturing the enzymes.
Catalase activity is only affected by long exposure to low-level gamma radiation.
- Ans: A
8. Meselson and Stahl investigated DNA replication by first feeding bacteria with bases containing
15N (heavy), and then with bases containing 14N (light). The results are shown in the photographs.

From this information, what would be the composition of the DNA in generation 3?
There will be a single 14N band.
There will be a single 15N band and a single 14N band.
There will be a darker 14N band and a lighter hybrid band.
There will be a single 15N band, a single hybrid band and a single 14N band.
Ans: C
9. What is a requirement for accurate measurements of the rate of respiration using a respirometer?
CO2 must be absorbed by water so that only O2 production is measured.
Temperature must be kept constant so the volume changes are only due to O2 use.
Anaerobic organisms are better to use than aerobic ones as they will produce larger volume changes.
Warm-blooded animals are better to use than cold-blooded animals as they do not change the temperature of the container.
Ans: B
10. Gene expression in cells is regulated at various stages. During which stage does splicing of RNA occur?
During replication
During transcription
Post transcription
Translation
Ans: C
11. How can environmental factors affect the expression of genes?
By promoting the replication of nucleosomes
By inactivating epinephrine
By making specific changes to the base sequence of genes
By causing the pattern of DNA methylation to be changed
Ans: D
12. In which image are polysomes visible? (The images do not have the same magnification)

Ans: C
13. Metabolic pathways are dependent on enzyme-catalysed reactions. Which term corresponds with
the description?
Term | Description |
A allosteric inhibition | the inhibitor binds to the active site of an enzyme |
B competitive inhibition | the maximum rate of a reaction is lowered as the substrate concentration increases |
C non-competitive inhibition | raises the maximum rate of reaction of a given enzyme reaction |
D end-product inhibition | the end-product in a metabolic pathway binds to an allosteric site of the first enzyme |
Ans: D
14. The following processes occur in aerobic cell respiration.
Decarboxylation of pyruvate
Diffusion of protons through ATP synthase
Phosphorylation of glucose
Which is the correct sequence for these processes?
A. I. | II. | III. |
B. I. | III. | II. |
C. II. | III. | I. |
D. III. | I. | II. |
Ans: D
15. What is reduced by Photosystem I ?
ADP
NADP
NAD
FAD
Ans: B
16. For what purpose is a karyogram used?
To identify gene loci in a species
To identify linked genes in the chromosomes of an individual
To identify the genome size of a species
To identify abnormal chromosomes in an individual
Ans: D
17. Which process could cause non-disjunction if it occurred during meiosis?
Sister chromatids do not align in metaphase I.
Homologous chromosomes do not separate in anaphase I.
Sister chromatids do not align in metaphase II.
Homologous chromosomes do not separate in anaphase II.
Ans: B
18. What is the percentage risk of a child inheriting Huntington’s disease if only one parent has the disease?
A 0 %
B. 25 %
C. 50 %
D. 100 %
Ans: C
19. Which technique is used to amplify very small samples of DNA?
Cloning
Gel electrophoresis
PCR
DNA profiling
Ans: C
20. Nail patella syndrome is a rare disease that causes abnormalities of the nails and some bones.
Its alleles are linked to the blood group alleles on the same chromosome. The pedigree chart shows
the inheritance of these two characteristics over three generations.

[Source: Copyright © 1998. Phillip McClean]
Which descendant represents a recombinant phenotype?
Generation | Individual |
A III | 1 |
B III | 4 |
C II | 5 |
D II | 13 |
Ans: C
21. Which example shows disruptive selection?
Giraffe necks have become longer over time.
Medium-sized beaks in hummingbirds have decreased in frequency over time.
The peppered moth became less common in polluted environments.
Human babies with a very high or a very low birth mass have a higher mortality rate.
Ans: B
22. Which processes occur in an ecosystem?
Biomass increases in each successive trophic level.
Inorganic nutrients are recycled.
Chemical energy is stored in carbon compounds.
I and II only
I and III only
II and III only
I, II and III
Ans: C
23. The Venus flytrap (Dionaea muscipula) is a photosynthetic plant. It obtains nitrogen but not energy
by digesting captured insects.

[Source: adapted from www.flytrapcare.com]
Which term describes this plant?
Secondary consumer
Autotroph
Primary consumer
Saprotroph
Ans: B
24. What describes a possible cause of a negative carbon flux in the atmosphere due
to processes occurring in a forest ecosystem?
The trees grew more so fixed more carbon dioxide.
There was more respiration by soil organisms.
There was more burning of forests.
There was more decomposition of leaf litter.
Ans: A
25. The diagrams show various wings.

[Source: for pterodactyl, bird and bat wings:
John W. Merck, University of Maryland, College Park, Department of Geology;
for insect wing: Halvard Hatlen https://upload.wikimedia.org/wikipedia/commons/0/0f/Dip-trichoceridae-wing.png]
Which statement describes the relationship between the structures of the wings?
The bat wing and the insect wing are homologous because they have the same function.
The limbs of the bird and bat wings are homologous due to convergent evolution.
The wings of the pterodactyl and the bat are analogous due to divergent evolution.
The bones of the wings of the pterodactyl, bird and bat are homologous as they have a common ancestor.
Ans: D
26. Which of the adaptations of flowers would be most successful for the survival of a species?
Spiny seeds for better wind dispersal
Different flowering times for better seed dispersal
Sticky pollen for better water dispersal
Specific odours for better insect pollination
Ans: D
27. The figwort family is a large one consisting of many flowering plants that look similar. For
what reason have some members of the family been reclassified into a new family?
Cladistic analysis shows the differences in flower structure to be fewer than the shared similarities.
DNA analysis shows the similarities in flower shape to be a product of convergent evolution.
DNA analysis shows some of the families to have suffered recent mutations in only one gene.
DNA analysis shows the similarities between the seed dispersal strategies to
be a product of divergent evolution.
Ans: B
28. Prickly pear cactus plants are well adapted to desert conditions. The stems are the flattened
structures visible in the image and the leaves are reduced to spines. The white spots in the image
are groups of spines.

[Source: Stan Shebs/Wikimedia. File licensed under CC BY-SA 3.0 (https://creativecommons.org/licenses/by-sa/3.0/)]
Which characteristic describes the advantage of one of their adaptations?
Leaves are reduced to spines to lose less carbon dioxide.
Spines increase surface area for more photosynthesis.
Stems are flattened to allow more water to be stored between periods of rain.
Waxy cuticle on the stems is very thin to allow rapid absorption of rain.
Ans: A
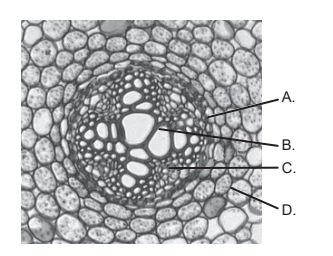
29. The micrograph shows the cross-section of the vascular tissue in a dicotyledonous root.
Which letter identifies phloem sieve tubes?

[Source: Wendy Paul]
Ans: C
30. The image shows seedlings that have been exposed to unidirectional light.

[Source: The Micro Gardener (https://themicrogardener.com/prevent-fix-leggy-seedlings/)]
Which statement explains the growth towards the light source?
Light causes auxin to inhibit cell division in the shoot meristem.
Light causes auxin to promote cell division in the shoot meristem.
Auxin is concentrated in the side of the shoot with light and inhibits cell elongation.
Auxin is concentrated in the side of the shoot without light and promotes cell elongation.
Ans: D
31. The diagram shows the human digestive system. Where are lipids digested?

[Source: BruceBlaus/Wikimedia. File licensed under CC BY 3.0 (https://creativecommons.org/licenses/by/3.0/)]
Ans: C
32. The diagram shows changes in pressure in the chambers of the left side of the heart and the aorta
during the cardiac cycle.
Which statement explains the changes in pressure?
The left atrium has low pressure during the cardiac cycle because very little blood flows into it.
The sinoatrial node stimulates the contraction of the aorta causing a pressure increase.
Pressure in the aorta increases when the semilunar valve opens and blood flows in from the left ventricle.
Epinephrine stimulates the relaxation of the left ventricle, decreasing the pressure.
Ans: C
33. The body has different defenses against infectious disease. Which cells provide non-specific immunity?
Memory cells
Phagocytic white blood cells
Plasma cells
Hybridoma cells
Ans: B
34. Florey and Chain injected four mice with Streptococcus bacteria and then penicillin and all four
mice recovered from the infection. What would be essential to show that penicillin caused their recovery?
A control group that was infected but not treated with penicillin
Experiments to test for effects of penicillin on other bacteria
Experiments to test for effects of different dosages of penicillin in mice
Determination of the chemical structure of penicillin
Ans: A
35. What is the role of type II pneumocytes?
To carry out gas exchange
To keep the alveoli moist
To increase surface tension
To maintain partial pressures of gases
Ans: B
36. Neurons transmit electrical impulses. Which statement describes part of this process?
K+ ions are pumped out of the cell to depolarize the membrane.
Ion channels let K+ diffuse into the cell to depolarize the membrane.
Na+ ions are pumped into the cell to repolarize the membrane.
Ion channels let Na+ diffuse into the cell to depolarize the membrane.
Ans: D
37. How are monoclonal antibodies produced?
Fusion of plasma cells with tumor cells
Fusion of plasma cells with B cells
Fusion of T cells with B cells
Fusion of T cells with tumor cells
Ans: A
38. The diagram shows two states of skeletal muscle, relaxed and contracted.

[Source: Provophys/Wikipedia. File licensed under CC BY-SA 3.0 (https://creativecommons.org/licenses/by-sa/3.0/)]
Which process is part of muscle contraction?
Myosin filaments cause the actin filaments to shorten.
Ca2+ from the sarcoplasmic reticulum binds to the myosin heads.
ATP provides energy for the movement of the myosin heads.
Ca2+ binds to tropomyosin and uncovers troponin.
Ans: C
39. What is the effect of ADH on the kidney?
It stimulates ultrafiltration in the Bowman’s capsule.
It inhibits reabsorption of water in the proximal convoluted tubules.
It inhibits reabsorption of ions in the loop of Henle.
It stimulates reabsorption of water in the collecting duct.
Ans: D
40. Which interaction occurs between hormones in the reproductive systems of women?
Estrogen from the corpus luteum stimulates secretion of FSH.
Estrogen from the follicle stimulates secretion of LH at midcycle.
Progesterone stimulates secretion of LH after ovulation.
During birth, progesterone stimulates secretion of oxytocin.
Ans: B
