Potato cells absorb methylene blue dye when the potato tissue is placed into the dye solution.
If the dyed potato cells are placed in water the dye will diffuse into the water.
You are going to investigate the effect of temperature on the diffusion of methylene blue dye from dyed potato cells.
Read all the instructions but DO NOT DO THEM until you have drawn a table for your results in the space provided in 1(a)(ii).
You should use the safety equipment provided while you are doing the practical work.
Step 1 Raise your hand when you are ready for hot water to be put into the beaker labelled hot water.
Step 2 Measure the temperature of the water in the beaker labelled hot water.
Record this measurement in the space provided in 1(a)(i).
Step 3 Label one test-tube C, one test-tube W and one test-tube H.
Step 4 Draw a line 5 cm from the base of each test-tube, as shown in Fig. 1.1. Place the three test-tubes in the test-tube rack.

Step 5 Fill test-tube C with cold water up to the line drawn in step 4. Put test-tube C into the beaker labelled cold water.
Step 6 Fill test-tube W with warm water up to the line drawn in step 4. Put test-tube W into the beaker labelled warm water.
Step 7 Fill test-tube H with hot water up to the line drawn in step 4. Put test-tube H into the beaker labelled hot water.
Step 8 You are provided with three potato cylinders in the beaker labelled P. They have been soaked in methylene blue solution and then rinsed.
Place the three potato cylinders on the white tile and cut the three potato cylinders to approximately 2 cm in length.
Step 9 Place one of the potato cylinders from step 8 into each test-tube.
Step 10 Start the stop-clock. Leave the test-tubes for 15 minutes.
Continue with the other questions while you are waiting.
Step 11 After 15 minutes, measure the temperature of the water in the beaker labelled hot water again.
Record this measurement in the space provided in 1(a)(i).
(a) (i) Record the temperatures you measured in step 2 and step 11. Include the unit.
water temperature in the beaker labelled hot water in step 2
water temperature in the beaker labelled hot water in step 11
Step 12 Remove the test-tubes from the beakers and shake all the test-tubes for 10 seconds.
Place the test-tubes into the test-tube rack.
Step 13 Hold the piece of white card behind the test-tubes to help you observe the contents of the test-tubes.
Observe the intensity of the blue colour of the liquid in test-tubes C, W and H.
Record your observations in your table in 1(a)(ii).
(ii) Prepare a table to record your results.
(iii) State a conclusion for your results.
(iv) Identify one possible source of error in step 8.
(v) Identify one safety hazard in the investigation.
(vi) Your measurements in 1(a)(i) may suggest that the temperature of the water during the investigation was a source of error. Suggest an improvement to reduce this type of error.
(b) A student investigated the effect of surface area on diffusion.
The student used this method:
- Cut four cubes from a potato. Each cube should be a different size.
- Put the potato cubes into a methylene blue solution for 24 hours.
- After 24 hours, remove the potato cubes from the solution and rinse them in cold water.
- Fill four test-tubes with water. Place one potato cube into each test-tube. Leave the test-tubes for 15 minutes.
- Some of the methylene blue dye will diffuse out of the potato cube into the water during the 15 minutes. Shine a light through the water in the test-tube after 15 minutes.
- Measure the percentage of light that is absorbed by the methylene blue dye in the water in each test-tube.
- The higher the concentration of methylene blue dye in the water the greater the percentage of light absorbed.
(i) State the independent variable and the dependent variable in the investigation described in 1(b).
(ii) State one variable that was kept constant in the investigation described in 1(b).
(iii) Fig. 1.2 is a graph showing the student’s results.

Using Fig. 1.2, estimate the percentage of light absorbed by the methylene blue dye when the surface area of the potato cube is 18 cm². Show on Fig. 1.2 how you obtained your estimate.
▶️ Answer/Explanation
(a) (i) Initial temperature higher than final temperature; °C;
Explanation: The temperature of the hot water should be recorded in degrees Celsius (°C) at the start (step 2) and after 15 minutes (step 11). Typically, the initial temperature will be higher than the final temperature due to heat loss to the surroundings.
(a) (ii) Table should include:
- Minimum of two columns with a header line
- Appropriate column/row headings (e.g., Test Tube, Temperature, Observation/Color Intensity)
- Data recorded showing suitable trend (e.g., increasing color intensity with temperature)
Explanation: The table should clearly organize the data collected from the three test tubes (C, W, H) with appropriate headings. The observations should show a trend where higher temperatures result in more intense blue color, indicating faster diffusion.
(a) (iii) As temperature increases (the rate of) diffusion is faster.
Explanation: The conclusion should state that higher temperatures lead to increased diffusion rates. This is because heat provides energy to the dye molecules, making them move faster and spread out more quickly from the potato cells into the water.
(a) (iv) Possible sources of error:
- Differences in the volume/concentration of dye in the cylinders
- Differences in rinsing/soaking of the cylinders
- Differences in length/size of the potato cylinders
Explanation: In step 8, when cutting the potato cylinders, variations in their size or the amount of dye they absorbed could affect the results. Uneven rinsing could also leave different amounts of dye in each cylinder.
(a) (v) Safety hazards:
- Use of a scalpel/knife to cut the cylinder
- Hot water causing burns
- Potential allergy to methylene blue or potato
Explanation: The main hazards include sharp tools used for cutting the potatoes and hot water that could cause burns. Proper handling techniques and safety equipment (like gloves and goggles) should be used.
(a) (vi) Use of a thermostatically controlled water-bath.
Explanation: To maintain constant temperatures, a water-bath with temperature control would be better than simply using beakers of water at different temperatures. This would prevent the temperature fluctuations that occurred during the experiment.
(b) (i)
- Independent variable: Surface area of the potato cube
- Dependent variable: Percentage of light absorbed
Explanation: The surface area was deliberately changed (independent variable), while the light absorption was measured as the outcome (dependent variable). The percentage of light absorbed indicates how much dye diffused out, which relates to the diffusion rate.
(b) (ii) Variables kept constant could include:
- Type of potato tissue
- Time soaking in methylene blue
- Time in water in test-tube
- Type/concentration of dye
Explanation: To ensure a fair test, factors like the type of potato, soaking time, and dye concentration should remain the same. Only the surface area should vary between the cubes.
(b) (iii) Approximately 67% (±1%)
Explanation: To estimate the percentage at 18 cm², you would:
- Locate 18 cm² on the x-axis (surface area)
- Draw a vertical line up to the curve
- From that point, draw a horizontal line to the y-axis
- Read the percentage value where this line meets the y-axis
The graph shows a positive correlation where larger surface areas result in greater light absorption, indicating more dye has diffused out.
(a) A scientist investigated the nutritional content of fruit juice.
(i) State the name of the reagent or solution that would be used to test the fruit juice for starch.
(ii) State the name of the reagent or solution that would be used to test the fruit juice for reducing sugars.
(iii) A sample of fruit juice was tested for protein. State the result of a positive test.
(b) Fruit juice contains vitamin C. Plan an investigation to determine the effect of temperature on vitamin C concentration in fruit juice.
(c) Scientists wanted to find out if drinking beetroot juice lowers blood pressure. Two groups of men had their systolic blood pressure measured. Group 1 drank 500 cm³ of beetroot juice and group 2 drank 500 cm³ of apple juice. After six hours their systolic blood pressures were measured again. The results are shown in Table 2.1.

(i) Using the data in Table 2.1, calculate the percentage change in mean systolic blood pressure for group 1. Give your answer to one decimal place.
(ii) State one factor that was kept constant in the investigation described in 2(c).
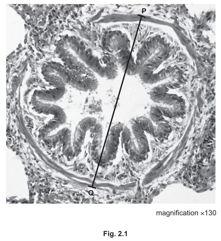
(d) Fig. 2.1 is a photomicrograph of a section through a bronchiole in a human lung.

(i) Line PQ represents the width of the bronchiole. Measure the length of line PQ in Fig. 2.1. Calculate the actual width of the bronchiole using the formula and your measurement. Give your answer to two significant figures.
(ii) Make a large drawing of the layers of tissue in the bronchiole shown in Fig. 2.1. Do not draw individual cells.
(e) A scientist investigated the effect of exercise on breathing rate and heart rate while running. They measured the percentage increase in breathing rate and heart rate from the resting rates during a four-minute run. The results are shown in Table 2.2.

(i) Using all the data in Table 2.2, plot a line graph on the grid of the percentage increase from resting rate against time. You will need to plot breathing rate and heart rate as two separate lines on your graph. Include a key.

(ii) State a conclusion for the data shown in your graph.
▶️ Answer/Explanation
(a)(i) Iodine solution.
Explanation: Iodine solution is used to test for starch. When added to a substance containing starch, it turns from brown-orange to blue-black. This color change is a clear indicator of starch presence.
(a)(ii) Benedict’s solution.
Explanation: Benedict’s solution is used to test for reducing sugars. When heated with a reducing sugar, it changes color from blue through green, yellow, and orange to brick-red, depending on the concentration of reducing sugar present.
(a)(iii) Violet/purple color.
Explanation: The Biuret test is used to detect proteins. When Biuret reagent (a mixture of sodium hydroxide and copper sulfate) is added to a solution containing protein, it turns violet or purple. This color change occurs due to the formation of a complex between the peptide bonds in proteins and the copper ions in the reagent.
(b)
Investigation Plan:
1. Independent variable: Different temperatures (e.g., 20°C, 40°C, 60°C, 80°C)
2. Dependent variable: Volume of DCPIP solution needed to decolorize a fixed volume of fruit juice (indicator of vitamin C concentration)
3. Method:
- Prepare equal volumes of fruit juice samples
- Heat each sample to different temperatures in water baths
- Cool samples to room temperature
- Add DCPIP solution drop by drop to each sample until the blue color disappears
- Record the volume of DCPIP needed for each temperature
4. Control variables: Volume of fruit juice, concentration of DCPIP, time of heating, light conditions
5. Safety: Use goggles when heating, handle hot liquids carefully
6. Repeats: Perform each temperature test at least three times for reliability
Explanation: Vitamin C (ascorbic acid) reduces blue DCPIP to colorless. The more vitamin C present, the more DCPIP is needed to reach the endpoint. Higher temperatures may degrade vitamin C, requiring less DCPIP for decolorization.
(c)(i) -3.8%
Calculation:
Percentage change = [(Final – Initial)/Initial] × 100
= [(127.4 – 132.4)/132.4] × 100
= (-5/132.4) × 100
= -3.776% → -3.8% (to one decimal place)
Explanation: The negative sign indicates a decrease in blood pressure. Group 1 (beetroot juice) showed a 3.8% reduction in systolic blood pressure after six hours, while group 2 (apple juice) showed minimal change.
(c)(ii) Volume of juice (500 cm³).
Explanation: Keeping the volume of juice constant ensures that any differences observed in blood pressure are due to the type of juice (beetroot vs apple) rather than the quantity consumed. Other possible constants could be the time between measurements (6 hours) or that all participants were male.
(d)(i) Length of PQ: ~96 mm; Actual width: ~0.74 mm
Calculation:
Magnification = Image size / Actual size
130 = 96 mm / Actual size
Actual size = 96 / 130 = 0.738 mm → 0.74 mm (to 2 significant figures)
Explanation: The actual size is calculated by dividing the measured image size by the magnification factor. Accurate measurement of PQ is crucial, and the answer must be rounded appropriately to two significant figures as specified.
(d)(ii)
Drawing Requirements:
- Clear outline of bronchiole with no shading
- Larger than the original image
- Show epithelial lining with correct number of folds/invaginations
- Include smooth muscle layer in correct position
- No individual cells drawn
(e)(i)
Graph Requirements:
- Axes labeled: “Time (s)” (x-axis) and “Percentage increase from resting rate” (y-axis)
- Even scales covering at least half the grid
- Accurate plotting of all data points (±½ small square)
- Two clear lines (one for breathing rate, one for heart rate)
- Key distinguishing the two lines
(e)(ii) Both breathing rate and heart rate increase with exercise duration, but breathing rate increases more dramatically than heart rate.
Detailed Conclusion: The data shows a clear positive correlation between exercise duration and both breathing and heart rates. Breathing rate shows a more rapid and greater percentage increase (from 0% to 142%) compared to heart rate (0% to 77%) over the 240-second period. This suggests that the respiratory system responds more immediately and intensely to exercise demands than the cardiovascular system during running. Both systems demonstrate progressive adaptation to increased oxygen demands during physical activity.
