Topic: 1.1
The photomicrograph shows cells from a human blood smear.

Which calculation shows a correct method to calculate the actual diameter of the neutrophil shown in the photomicrograph in micrometres \((\mu \mathrm{m})\) ?
▶️ Answer/Explanation
Ans: A
The actual size of an object under a microscope can be calculated using the formula:
\[ \text{Actual Size} = \frac{\text{Measured Size (mm)} \times 1000}{\text{Magnification}} \]
Here, the measured length of line \(PQ\) in \(\text{mm}\) is converted to micrometres (\(\mu m\)) by multiplying by \(1000\) (since \(1 \text{mm} = 1000 \mu m\)). The magnification factor is then used to determine the actual size. Thus, option A is correct.
Topic: 1.1
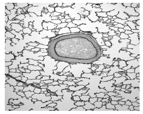
A student calibrated an eyepiece graticule using a stage micrometer.
- Each division of the stage micrometer was \(0.01 \mathrm{~mm}\).
- With a \(\times 10\) magnification objective lens, 10 eyepiece graticule units matched 10 divisions on the stage micrometer.
The same microscope was used with a \(\times 40\), instead of a \(\times 10\), magnification objective lens to measure the diameter of an alveolus. The diameter of the alveolus was found to be 96 eyepiece graticule units.
The eyepiece lens was not changed.
What is the best estimate for the diameter of the alveolus?
▶️ Answer/Explanation
Ans: C
At \(\times 10\) magnification, 10 eyepiece units = 10 stage micrometer divisions = \(10 \times 0.01 \mathrm{~mm} = 0.1 \mathrm{~mm}\). Thus, 1 eyepiece unit = \(0.01 \mathrm{~mm}\) at \(\times 10\). When the magnification increases to \(\times 40\), the apparent size decreases by a factor of 4, so 1 eyepiece unit = \(0.01 \mathrm{~mm} / 4 = 2.5 \mu \mathrm{m}\). The alveolus measures 96 eyepiece units, so its diameter = \(96 \times 2.5 \mu \mathrm{m} = 240 \mu \mathrm{m}\).
Topic: 2.1
Which statements are correct for chloroplasts and also for mitochondria?
1. They contain 80 S ribosomes.
2. They can transcribe their circular DNA.
3. They can translate mRNA.
4. They are enclosed by double membranes.
▶️ Answer/Explanation
Ans: C
Chloroplasts and mitochondria both have circular DNA (which they can transcribe, statement 2), can translate mRNA (statement 3), and are enclosed by double membranes (statement 4). However, they contain 70S ribosomes (not 80S, so statement 1 is incorrect). Thus, the correct statements are 2, 3, and 4, making option C the right choice.
Topic: 2.1
The electron micrograph shows some cells from a root. Which cell structure is not usually found in cells from a root?

▶️ Answer/Explanation
Ans: B
Root cells typically lack chloroplasts since they are underground and do not perform photosynthesis. The electron micrograph likely highlights this absence, making B (chloroplasts) the correct answer. Other structures like nuclei, mitochondria, and cell walls are commonly present in root cells.
Topic: 2.2
Dialysis (Visking) tubing is an artificial partially permeable membrane with pore sizes of approximately \(2.5 \mathrm{~nm}\). Glucose molecules have a diameter of about \(1.5 \mathrm{~nm}\) and can pass through the pores in the membrane. What else can pass through the pores?
▶️ Answer/Explanation
Ans: D
The pore size of the dialysis tubing is \(2.5 \mathrm{~nm}\), and only molecules smaller than this can pass through. Fructose (4) has a diameter smaller than glucose (\(1.5 \mathrm{~nm}\)), so it can pass. Bacteria (1), haemoglobin (2), and ribosomes (3) are much larger and cannot pass. Thus, the correct answer is D (4 only).
Topic: 3.1
What is present in all viruses?
▶️ Answer/Explanation
Ans: C
All viruses contain genetic material, which can be either RNA or DNA. Adenine (C) is a nitrogenous base present in both RNA and DNA, making it common to all viruses. Ribose (A) is found only in RNA viruses, deoxyribose (B) in DNA viruses, and thymine (D) is exclusive to DNA, so these are not universal.
Topic: 3.2
To estimate the concentration of glucose in an unknown solution, equal volumes of a range of known concentrations of glucose were each mixed with the same excess volume of Benedict’s solution. After mixing, the solutions were placed in a thermostatically controlled water-bath at \(90^{\circ} \mathrm{C}\) for three minutes.
The unknown solution was then treated in the same way and the colours of the known and unknown solutions compared.
What is the independent variable in this procedure?
▶️ Answer/Explanation
Ans: A
The independent variable is the factor deliberately changed in an experiment. Here, the concentration of glucose is varied (known concentrations are tested) to observe its effect on the colour change (dependent variable). Other factors like temperature and volume are kept constant, making option A correct.
Topic: 2.3
Which statements are correct for amylose and also for amylopectin?
1. They are carbohydrate molecules.
2. They are formed by condensation reactions.
3. They are linear molecules.
4. They contain \(\alpha-1,4\) glycosidic bonds.
▶️ Answer/Explanation
Ans: B
Amylose and amylopectin are both carbohydrates (1) formed by condensation reactions (2). They contain \(\alpha-1,4\) glycosidic bonds (4). However, amylopectin is branched (not linear), so statement 3 is incorrect. Thus, the correct combination is 1, 2, and 4 (Option B).
Topic: 2.3
Which statement is a correct comparison between saturated triglyceride molecules and unsaturated triglyceride molecules of approximately the same molecular masses?
▶️ Answer/Explanation
Ans: A
Saturated triglycerides have no double bonds between carbon atoms and are fully “saturated” with hydrogen atoms. Unsaturated triglycerides contain one or more double bonds, reducing the number of hydrogen atoms compared to saturated fats of similar molecular mass. Thus, option A is correct.
Topic: 2.2
The diagram represents a molecule from a cell surface membrane.

Which description of one of the labels is correct?
▶️ Answer/Explanation
Ans: D
The diagram represents a phospholipid, a key component of cell membranes. The phosphate group forms the hydrophilic (water-loving) head, while the fatty acid tails are hydrophobic (water-repelling). Option D correctly identifies the phosphate group at the hydrophilic end, whereas options A, B, and C mislabel the parts or their properties.
Topic: 2.4
Which row correctly shows levels of protein structure that can be held together by each type of interaction?

▶️ Answer/Explanation
Ans: C
The correct answer is C because hydrogen bonds stabilize both secondary (e.g., alpha-helices and beta-sheets) and tertiary structures (3D folding). Ionic bonds and disulfide bridges primarily contribute to tertiary and quaternary structures, not secondary. Thus, option C accurately represents the interactions at different protein structural levels.
Topic: 2.4
Which molecules contain at least three double bonds?

▶️ Answer/Explanation
Ans: D
To determine which molecules contain at least three double bonds, we analyze the given structures:
- Molecule I: Contains two double bonds (C=C and C=O).
- Molecule II: Contains one double bond (C=O).
- Molecule III: Contains two double bonds (C=C and C=O).
- Molecule IV: Contains three double bonds (two C=C and one C=O).
Only Molecule IV meets the condition of having at least three double bonds.
Topic: 2.3
Which diagram correctly shows hydrogen bonding between two water molecules?

▶️ Answer/Explanation
Ans: B
Hydrogen bonding in water occurs when the partially positive hydrogen (\(\delta+\)) of one water molecule is attracted to the partially negative oxygen (\(\delta-\)) of another water molecule. Diagram B correctly shows this interaction, where the hydrogen bond is represented as a dashed or dotted line between \(\mathrm{H}\) and \(\mathrm{O}\) of adjacent molecules. The other diagrams either misrepresent the bond direction or involve incorrect atoms.
Topic: 3.1
Which statement describes an example of an extracellular enzyme?
▶️ Answer/Explanation
Ans: A
Extracellular enzymes are secreted by cells to catalyze reactions outside the cell. Amylase in saliva (option A) is an extracellular enzyme because it is released into the mouth to break down starch. The other enzymes (carbonic anhydrase, DNA polymerase, and RNA polymerase) function inside cells, making them intracellular.
Topic: 3.2
Which row is correct for enzymes that catalyse reactions using the lock-and-key hypothesis?

▶️ Answer/Explanation
Ans: B
The lock-and-key hypothesis states that the enzyme’s active site has a rigid, specific shape complementary to the substrate. Thus:
- Active site shape: Fixed (unchanging).
- Enzyme-substrate complex: Forms when the substrate fits precisely into the active site.
Option B correctly describes these features, while other rows inaccurately suggest flexibility or non-specificity.
Topic: 3.2
A scientist investigated the rate of breakdown of hydrogen peroxide.
Four experiments were carried out using different mixtures.
- substrate only
- substrate + enzyme
- substrate + enzyme + competitive inhibitor
- substrate + enzyme + non-competitive inhibitor
The results are sketched in the graph.

Which row shows the correct lines for two of the experimental mixtures?

▶️ Answer/Explanation
Ans: B
1. Substrate only (no enzyme): Very slow breakdown (lowest rate, e.g., line D).
2. Substrate + enzyme: Fastest breakdown (highest rate, e.g., line A).
3. Competitive inhibitor: Reduces rate but can be overcome at high substrate concentration (e.g., line B).
4. Non-competitive inhibitor: Permanently reduces enzyme activity (e.g., line C).
The correct pairing is B (A and C), where A = enzyme alone, and C = non-competitive inhibition.
Topic: 2.2
Which of these substances can pass directly through cell surface membranes without using a carrier protein or a channel protein?
1 \( \mathrm{Ca}^{2+} \)
2 \( \mathrm{CO}_2 \)
3 \( \mathrm{C}_6 \mathrm{H}_{12} \mathrm{O}_6 \)
▶️ Answer/Explanation
Ans: D
Only small, nonpolar molecules like \( \mathrm{CO}_2 \) (2) can diffuse directly through the phospholipid bilayer without assistance. \( \mathrm{Ca}^{2+} \) (1) is an ion and requires channel proteins, while glucose (\( \mathrm{C}_6 \mathrm{H}_{12} \mathrm{O}_6 \)) (3) is polar and needs carrier proteins. Thus, the correct answer is D (2 only).
Topic: 1.2
What happens to the surface area to volume ratio of a cube when the length of each side is doubled?
▶️ Answer/Explanation
Ans: B
For a cube with side length \( L \), the surface area \( SA = 6L^2 \) and the volume \( V = L^3 \). The surface area to volume ratio is \( \frac{SA}{V} = \frac{6}{L} \). When the side length is doubled (\( 2L \)), the new ratio becomes \( \frac{6}{2L} = \frac{3}{L} \), which is half the original ratio. Thus, the correct answer is B.
Topic: 5.1
Which events are part of the mitotic cell cycle?
1 interphase
2 telophase
3 cytokinesis
▶️ Answer/Explanation
Ans: A
The mitotic cell cycle includes interphase (1) (cell growth and DNA replication), telophase (2) (final stage of mitosis where nuclei reform), and cytokinesis (3) (division of cytoplasm). All three are essential phases, making option A correct.
Topic: 5.2
The estimated total number of red blood cells in the human body is \(2.5 \times 10^{13}\). It is estimated that, each day, \(2.5 \times 10^{11}\) red blood cells are removed from the circulation and are replaced by stem cells in the bone marrow. Which percentage of the total number of red blood cells is replaced each day?
▶️ Answer/Explanation
Ans: C
To find the percentage of red blood cells replaced daily:
\[ \text{Percentage replaced} = \left( \frac{\text{Number of cells replaced per day}}{\text{Total number of cells}} \right) \times 100 \]
Substituting the given values:
\[ \frac{2.5 \times 10^{11}}{2.5 \times 10^{13}} \times 100 = 1\% \]
Thus, 1% of red blood cells are replaced each day.
Topic: 6.1
DNA polymerase catalyses condensation reactions between molecules during semi-conservative replication of DNA.
What is joined by DNA polymerase?
▶️ Answer/Explanation
Ans: C
During DNA replication, DNA polymerase forms phosphodiester bonds between adjacent nucleotides. It links the 3′ hydroxyl (OH) group of one nucleotide to the 5′ phosphate group of another, creating the sugar-phosphate backbone. Thus, nucleotide and nucleotide (Option C) is correct, while the other options describe incorrect or partial interactions.
Topic: 6.1
Two polynucleotide strands make up a DNA molecule. Which description is correct?
▶️ Answer/Explanation
Ans: B
According to Chargaff’s rule, in a DNA molecule, the amount of cytosine (C) equals guanine (G), and adenine (A) equals thymine (T) for the entire double-stranded molecule. While individual strands may vary in base composition, the whole molecule maintains \( C = G \) and \( A = T \). Thus, option B is correct.
Topic: 6.2
The PDx 1 protein is found in a wide range of animal species where it is regarded as essential for normal metabolism. In sand rats, the gene coding for the PDx1 protein has a much lower proportion of \(A\) and \(T\) nucleotides than \(P D \times 1\) genes from other animals.
Finding the complete DNA sequence of the \(P D \times 1\) gene in sand rats has been difficult. Sequencing involves splitting off nucleotides one at a time from single-stranded DNA.
What could account for the difficulty in finding the DNA sequence of the \(P D \times 1\) gene in sand rats?
1 The \(P D x 1\) gene is present in only a small proportion of nuclei.
2 The \(P D \times 1\) gene is transcribed in only some cells.
3 The strength of the hydrogen bonding between the two strands of the \(P D \times 1\) gene is unusually high.
▶️ Answer/Explanation
Ans: D
The difficulty in sequencing the \(P D \times 1\) gene in sand rats is likely due to the unusually high strength of hydrogen bonding between the two DNA strands (Statement 3). Here’s why:
- The gene has a lower proportion of \(A\) and \(T\) nucleotides, meaning it has more \(G\) and \(C\) nucleotides. Since \(G-C\) pairs form three hydrogen bonds (compared to \(A-T\) pairs, which form two), the DNA strands are harder to separate during sequencing.
- Statements 1 and 2 are irrelevant because sequencing does not depend on the gene’s presence in a small proportion of nuclei or its transcription in specific cells.
Thus, only Statement 3 explains the sequencing difficulty, making D the correct answer.
Topic: 6.2
Different tissues in a plant were supplied with a radioactively labelled substance to identify which tissues were actively synthesising mRNA.
Which radioactively labelled substances would be suitable for this experiment?
1. adenine
2. uracil
3. inorganic phosphate
4. ribose
▶️ Answer/Explanation
Ans: C
To detect mRNA synthesis, the labelled substances must be incorporated into mRNA. Uracil (2) is specific to RNA (replacing thymine in DNA), and ribose (4) is the sugar in RNA (unlike deoxyribose in DNA). Adenine (1) and inorganic phosphate (3) are not mRNA-specific, as they are also used in DNA and other cellular processes. Thus, only options 2 and 4 are suitable.
Topic: 7.1
Which row correctly matches the structure and function of phloem sieve tube elements?

▶️ Answer/Explanation
Ans: A
Sieve tube elements are specialized cells in phloem that transport organic nutrients (e.g., sucrose) in plants. They have no nucleus at maturity (allowing efficient flow) and are lined up end-to-end to form sieve tubes. Their end walls (sieve plates) contain pores for translocation. Companion cells provide metabolic support. Thus, option A correctly describes their structure and function.
Topic: 7.1
Which feature of xylem vessel elements helps adhesion during transpiration?
▶️ Answer/Explanation
Ans: D
Adhesion in transpiration relies on water molecules sticking to the walls of xylem vessels. A narrow tube (Option D) increases the surface area-to-volume ratio, enhancing adhesion. While lignin (A) provides structural support and lack of cross-walls (C) aids water flow, neither directly promotes adhesion. New vessel formation (B) is unrelated to the adhesion mechanism.
Topic: 7.1
Mass flow is the bulk movement of materials from one place to another. How many of the vessels listed carry fluids by mass flow?
▶️ Answer/Explanation
Ans: D
1. Artery and Vein: Carry blood via mass flow (bulk movement under pressure).
2. Phloem Sieve Tube: Translocates sugars by mass flow (pressure-flow hypothesis).
3. Xylem Vessel: Transports water and minerals via mass flow (transpiration pull).
All four vessels rely on mass flow mechanisms, making D (4) correct.
Topic: 7.2
Cellulose, lignin and suberin are components of various plant cell walls.
Descriptions of these cell wall components are listed.
1. a component of the Casparian strip
2. redirects water into the symplast pathway
3. a hydrophobic component of cell walls
4. water interacts with this molecule in the apoplast pathway
Which row correctly matches three of the descriptions with cell wall components?

▶️ Answer/Explanation
Ans: D
Suberin is a key component of the Casparian strip (1), is hydrophobic (3), and blocks the apoplast pathway, forcing water into the symplast (2). Cellulose interacts with water in the apoplast (4). Lignin provides structural support but does not match the given descriptions. Thus, the correct combination is suberin (1, 2, 3) and cellulose (4), matching option D.
Topic: 7.2
The arrows show the direction of water movement across a plant root, from water in the soil to the xylem.

Which arrows show water movement only in the apoplast pathway?
▶️ Answer/Explanation
Ans: C
The apoplast pathway involves water movement through cell walls and intercellular spaces without crossing cell membranes. In the diagram, arrows 2 and 4 represent this pathway as they show water moving along cell walls. Other arrows either show the symplast pathway (crossing membranes) or both pathways. Thus, the correct answer is C.
Topic: 7.1
Which row correctly identifies sources and sinks of sugars?

▶️ Answer/Explanation
Ans: A
In plants, sources are tissues where sugars are produced (e.g., leaves via photosynthesis), while sinks are tissues where sugars are used or stored (e.g., roots and fruits). Option A correctly identifies leaves as sources and roots as sinks, matching the biological transport of sugars in phloem.
Topic: 8.1
The photomicrograph shows a section through a tissue with an artery.

Which row correctly shows the type of artery and whether the blood inside the artery is oxygenated or deoxygenated?

▶️ Answer/Explanation
Ans: A
The photomicrograph shows a pulmonary artery, which carries deoxygenated blood from the heart to the lungs. This is evident from the thick muscular wall (characteristic of arteries) and the fact that it’s the only artery in the body that carries deoxygenated blood.
Key observations:
- Thick wall indicates it’s an artery (not a vein)
- All arteries carry oxygenated blood except the pulmonary artery
Topic: 8.2
Heart surgery may cause a decrease in the transmission of impulses in the Purkyne tissue to the right side of the heart. What is a possible effect of this decrease?
▶️ Answer/Explanation
Ans: B
The Purkyne tissue (Purkinje fibers) conducts impulses rapidly to ensure simultaneous contraction of both ventricles. If transmission to the right side is impaired, the right ventricle would contract slightly later than the left ventricle (Option B). The atrioventricular node (A) and sinoatrial node (D) function independently of Purkyne tissue, while atrial contraction (C) occurs before Purkyne tissue activation.
Topic: 8.1
The diagram shows a network of blood vessels that supply blood to muscle tissue in the human body.

What is a correct comparison between the blood at X and the blood at Y when the muscle tissue is at rest?

▶️ Answer/Explanation
Ans: C
When muscle tissue is at rest:
- Glucose concentration decreases from X (arterial blood) to Y (venous blood) because resting muscles still utilize some glucose for basal metabolic activities.
- Oxygen concentration decreases as muscles extract oxygen for cellular respiration, even at rest.
- Carbon dioxide concentration increases as it is produced as a metabolic waste product.
Thus, option C correctly states that the blood at Y has less glucose and oxygen but more carbon dioxide compared to blood at X.
Topic: 8.3
Scientists have shown that the oxygen dissociation curves for haemoglobin of smaller mammals are to the right of those of larger mammals.
What does this suggest about the haemoglobin of smaller mammals?
▶️ Answer/Explanation
Ans: C
A right-shifted oxygen dissociation curve indicates that the haemoglobin of smaller mammals has lower oxygen affinity compared to larger mammals. This means:
- Oxygen Release: The haemoglobin releases oxygen more readily at tissues (higher \(P_{O_2}\)), which is advantageous for smaller mammals with higher metabolic rates.
- Oxygen Binding: At low \(P_{O_2}\) (e.g., in lungs), it binds oxygen less tightly, but this is not the primary implication of the right shift.
Thus, the correct interpretation is that smaller mammals’ haemoglobin releases oxygen more easily (Option C). Options A, B, and D misinterpret the curve’s implications.
Topic: 8.3
What is an effect of an increased concentration of carbon dioxide in the blood?
▶️ Answer/Explanation
Ans: B
When CO2 concentration increases in the blood, it reacts with water to form carbonic acid (H2CO3), which dissociates into H+ and HCO3– (hydrogencarbonate) ions. The H+ ions bind to haemoglobin, forming haemoglobinic acid (HHb), increasing its concentration. This is part of the Bohr effect, which facilitates oxygen unloading in tissues. The other options are incorrect because: (A) Chloride ions move into RBCs (chloride shift), (C) HCO3– increases, and (D) carbaminohaemoglobin forms when CO2 binds to haemoglobin, so its concentration would increase.
Topic: 9.1
Two of the requirements of an efficient gas exchange system are a large surface area and a short diffusion distance. Which row correctly describes how alveoli are adapted to meet these requirements?

▶️ Answer/Explanation
Ans: C
Alveoli are adapted for efficient gas exchange by having: (1) Numerous tiny sacs (millions of alveoli) providing a large surface area, and (2) Thin walls (one-cell thick) plus a thin capillary endothelium creating a short diffusion distance. These features maximize the rate of oxygen and carbon dioxide exchange. Option C correctly identifies both adaptations.
Topic: 10.1
What defines infectious diseases?
▶️ Answer/Explanation
Ans: B
Infectious diseases are defined by transmission of pathogens between hosts, which includes bacteria, viruses, fungi, or parasites. While options A, C, and D describe specific transmission methods (environmental, vector-borne, or mutation), Option B is the broadest and most accurate definition, encompassing all infectious disease mechanisms.
Key points:
- Infectious diseases require a pathogen (not limited to bacteria or viruses).
- Transmission can occur directly (host-to-host) or indirectly (via vectors/environment).
- Option B covers all cases, while others are subsets of transmission modes.
Topic: 10.2
A hurricane destroys a large town on an island. People move away from the town and set up tents, where sanitation is poor.
Which disease is most likely to spread within a week of the change in living conditions?
▶️ Answer/Explanation
Ans: A
1. Cholera (A): Spreads rapidly via contaminated water in poor sanitation conditions—likely in post-disaster tent settlements.
2. HIV (B) and TB (D): Require longer-term contact or airborne transmission, not typically immediate post-disaster threats.
3. Malaria (C): Requires mosquito vectors, which may take time to breed in stagnant water after flooding.
Cholera’s fecal-oral transmission makes it the most imminent risk, justifying A as correct.
Topic: 11.1
Which statement correctly explains why viruses are unaffected by penicillin?
▶️ Answer/Explanation
Ans: D
Penicillin specifically inhibits peptidoglycan synthesis, a component of bacterial cell walls. Viruses lack cell walls and any peptidoglycan, making them unaffected by penicillin. Options A, B, and C incorrectly describe penicillin’s mechanism or target structures that viruses either lack or do not depend on for replication.
Topic: 11.2
Which processes characterise the mode of action of phagocytes?
1. antibody production
2. receptor binding
3. endocytosis
4. exocytosis
5. hydrolysis
▶️ Answer/Explanation
Ans: C
Phagocytes act through several key processes: receptor binding (2) to recognize pathogens, endocytosis (3) to engulf them, exocytosis (4) to release digestive enzymes, and hydrolysis (5) to break down the pathogen. Antibody production (1) is performed by B-cells, not phagocytes. Thus, the correct combination is 2, 3, 4, and 5, making option C correct.
