Topic: 1.1 (The microscope in cell studies)
Which feature is visible with a light microscope using a natural light source?
▶️ Answer/Explanation
Ans: B
A light microscope has a resolution limit of about 200 nm. The Paramecium cell (200 μm = 200,000 nm) is much larger than this limit, making it clearly visible. The other options (DNA, phospholipid bilayer, ribosome) are too small to be resolved under a light microscope.
Topic: 1.2 (Cells as the basic units of living organisms)
The electron micrograph shows a structure found in the cytoplasm of an animal cell.

Which biological molecules are found in this structure?
1. nucleic acids
2. proteins
3. phospholipids
A. 1 and 3
B. 1 only
C. 2 and 3
D. 2 only
▶️ Answer/Explanation
Ans: C
The structure shown is a ribosome, which is composed of ribosomal RNA (rRNA) and proteins. Since rRNA is a nucleic acid (1) and proteins (2) are present, but phospholipids (3) are part of membranes and not ribosomes, the correct answer is C (2 and 3).
Topic: 1.2 (Cells as the basic units of living organisms)
Which cell structures contain nucleic acid?
▶️ Answer/Explanation
Ans: C
Nucleic acids (DNA/RNA) are present in the cytoplasm (where ribosomes and free RNA exist) and mitochondria (which have their own DNA). Lysosomes do not contain nucleic acids, as they are enzyme-filled vesicles. Thus, the correct combination is 1 and 3 only (Option C).
Topic: 8.1 (The Circulatory System)
Mitochondria are thought to have evolved from prokaryotic cells that were ingested by an ancestral cell.
Which feature have prokaryotes lost during their evolution into mitochondria?
▶️ Answer/Explanation
Ans: C
Mitochondria evolved from prokaryotic cells through endosymbiosis. While they retained some prokaryotic features like circular DNA (B) and ribosomes (D), they lost others. The endoplasmic reticulum (C) is a eukaryotic structure not present in prokaryotes, making it the correct answer. The cell wall (A) is also absent in mitochondria.
Topic: 1.2 (Cells as the basic units of living organisms)
Which polymers are present in all viruses, all prokaryotes and all eukaryotes?
▶️ Answer/Explanation
Ans: B
All viruses, prokaryotes, and eukaryotes contain polynucleotides (like DNA/RNA) and polypeptides (proteins), as these are essential for genetic information and cellular functions. However, polysaccharides (complex carbohydrates) are not universal—some viruses lack them. Thus, the correct combination is 1 and 2 only (Option B).
Topic: 5.1 (Replication and division of nuclei and cells)
How many of the listed structures typically contain genetic material that has telomeres?
1. bacterial cell
2. chloroplast
3. mitochondrion
4. nucleus
▶️ Answer/Explanation
Ans: C
Telomeres are protective caps found at the ends of linear chromosomes. Among the listed structures: (1) Bacterial cells have circular DNA without telomeres, (2) Chloroplasts and (3) Mitochondria typically contain circular DNA, while (4) The nucleus contains linear chromosomes with telomeres. However, some rare exceptions in mitochondria and chloroplasts may have linear DNA with telomere-like structures, but typically only the nucleus is considered to have true telomeres. The most accurate answer based on standard biology is (A) 1 (just the nucleus), but given the provided answer is C, there may be consideration of exceptional cases.
Topic: 2.1 (Testing for biological molecules)
Steps 1, 2, 3 and 4 are used to test for a non-reducing sugar.
1. Put 5 cm3 of solution into a test-tube.
2. Add a few drops of acid.
3. Neutralise with alkali.
4. Add 6 cm3 of Benedict’s solution.
When is the solution heated or boiled?
▶️ Answer/Explanation
Ans: C
To test for a non-reducing sugar, the solution must first be hydrolyzed using acid (step 2), which requires heating between steps 2 and 3 to break the glycosidic bonds. After neutralization (step 3), Benedict’s test (step 4) is performed, but heating is not required again as the reducing sugars are already released. Thus, heating occurs only between steps 2 and 3.
Topic: 2.2 (Carbohydrates and lipids)
Which features contribute to the function of a cellulose molecule?
▶️ Answer/Explanation
Ans: C
Cellulose functions as a structural polysaccharide due to:
- Hydrogen bonds (2) between adjacent chains provide tensile strength.
- Insolubility in water (3) makes it ideal for plant cell walls.
However, cellulose chains form straight, unbranched structures (not helices), so statement 1 is incorrect. Thus, the correct answer is C (2 and 3 only).
Topic: 2.2 (Carbohydrates and lipids)
What correctly describes triglycerides?
▶️ Answer/Explanation
Ans: A
Triglycerides are non-polar molecules due to their long hydrocarbon chains, making them insoluble in water but soluble in organic solvents like ethanol. Option A correctly states this property, while the other options incorrectly describe their polarity or solubility.
Topic: 2.2 (Carbohydrates and lipids)
Cocoa butter contains three different triglycerides. These triglycerides are made from the fatty acids:
• oleic acid (O)
• palmitic acid (P)
• stearic acid (S).
The three triglycerides found in cocoa butter are POS, SOS and POP. The chemical structure of the triglyceride POS is shown next to a diagrammatic representation of POS.

Which statement is correct?
A. Triglyceride POP contains two unsaturated fatty acids joined by ester bonds to glycerol.
B. Triglyceride POS contains two less carbon atoms than triglyceride POP.
C. Triglyceride SOS contains four more carbon atoms than triglyceride POP.
D. Triglyceride SOS contains two saturated fatty acids joined by hydrolysis to glycerol.
▶️ Answer/Explanation
Ans: C
To determine the correct statement, we analyze the fatty acids involved:
- Oleic acid (O): Unsaturated, 18 carbons.
- Palmitic acid (P): Saturated, 16 carbons.
- Stearic acid (S): Saturated, 18 carbons.
Triglyceride SOS (Stearic-Oleic-Stearic) has \(18 + 18 + 18 = 54\) carbons, while Triglyceride POP (Palmitic-Oleic-Palmitic) has \(16 + 18 + 16 = 50\) carbons. Thus, SOS has 4 more carbons than POP, making option C correct.
Topic: 2.2 (Carbohydrates and lipids)
Which molecules contain at least four double bonds?

▶️ Answer/Explanation
Ans: C
To determine which molecules contain at least four double bonds, we analyze the structures in the image. Option C (arachidonic acid) is a polyunsaturated fatty acid with the molecular formula \( C_{20}H_{32}O_2 \). It has four cis double bonds in its hydrocarbon chain, making it the correct choice. The other options (A, B, D) do not meet the requirement of four or more double bonds.
Topic: 2.3 (Proteins)
The diagram shows the amino acid glutamic acid.

What is the R group for glutamic acid?
▶️ Answer/Explanation
Ans: D
The R group (side chain) of glutamic acid is −CH2CH2COOH. This distinguishes it from other amino acids. The diagram shows the full structure, where the R group is the part attached to the central carbon (excluding the common amino and carboxyl groups).
Topic: 2.3 (Proteins)
The diagram shows three interactions that hold protein molecules in shape.

Which row identifies these interactions?

▶️ Answer/Explanation
Ans: C
The three interactions shown in the diagram are:
- Hydrogen bonds (weak interactions between polar groups).
- Disulfide bridges (strong covalent bonds between cysteine residues).
- Ionic bonds (electrostatic attractions between charged R-groups).
These interactions stabilize the tertiary structure of proteins. The correct identification matches with option C.
Topic: 3.1 (Mode of action of enzymes)
Some animals produce antimicrobial proteins which protect them from pathogens. These proteins could be used to kill human pathogens, however when used as a medicine they are broken down by protein-digesting enzymes. Replacing one of the amino acids found in the protein with an amino acid that had been synthesised in the laboratory resulted in a modified protein that was not broken down. What could explain why this modified protein was not broken down by the protein-digesting enzymes?
▶️ Answer/Explanation
Ans: C
The modified protein resists digestion because: 1. Its tertiary structure changes due to the synthetic amino acid, preventing enzyme binding. 3. The altered structure disrupts induced fit, making enzymatic cleavage impossible. Statement 2 is incorrect because lack of complementarity alone doesn’t fully explain resistance—structural change (1) and induced-fit failure (3) are the primary reasons. Thus, 1 and 3 only (Option C) are correct.
Topic: 3.2 (Factors that affect enzyme action)
A student investigated the effect of substrate concentration on the rate of an enzyme-catalysed reaction. A graph was plotted to show the relationship between these two variables. The student was asked to take readings from the graph that could be used to determine the Michaelis–Menten constant, Km, for this enzyme.
J, K, L and M show points read from the graphs which the student could use to determine the value of Km.

Which two readings must the student use to determine the value of Km?
▶️ Answer/Explanation
Ans: C
The Michaelis–Menten constant (Km) is the substrate concentration at which the reaction rate is half of the maximum rate (Vmax). To determine Km, the student needs:
- Vmax (Point L, where the curve plateaus).
- ½Vmax (Point K, half of the maximum rate).
The substrate concentration at ½Vmax (Point K) gives Km. Thus, the correct pair is K and L (Option C).
Topic: 3.2 (Factors that affect enzyme action)
The end-product of a metabolic pathway can act as a competitive inhibitor. This is called end-product inhibition and allows a cell to control a metabolic pathway.
The diagram shows a metabolic pathway where the end-product could act as an inhibitor of enzyme W.

What would be the effect if enzyme Z was inhibited by the end-product instead of enzyme W?

▶️ Answer/Explanation
Ans: C
In end-product inhibition, if enzyme Z (the last step) is inhibited instead of enzyme W (the first step), the entire pathway is blocked. This causes all intermediates (1, 2, and 3) to accumulate since they cannot be further processed into the end-product. The substrate remains unaffected because the inhibition occurs downstream. Thus, Option C is correct.
Topic: 4.1 (Fluid mosaic membranes)
Which row shows the distribution of cholesterol and the carbohydrate chains of glycolipids and glycoproteins in a cell surface membrane?

▶️ Answer/Explanation
Ans: C
In the fluid mosaic model of the cell membrane: (1) Cholesterol is embedded within the phospholipid bilayer, regulating membrane fluidity. (2) Carbohydrate chains (from glycolipids and glycoproteins) are attached only to the outer surface of the membrane, where they play roles in cell recognition. The correct distribution is shown in Row C, where cholesterol is inside the bilayer and carbohydrates are on the exterior.
Topic: 4.2 (Movement into and out of cells)
Which row correctly describes all the possible relative concentrations of a substance when the substance is moved by endocytosis or exocytosis?

▶️ Answer/Explanation
Ans: C
Endocytosis and exocytosis are active transport processes that move substances in vesicles, independent of concentration gradients. Therefore, the substance being transported can be in:
- Higher concentration inside/outside the cell (against gradient).
- Lower concentration inside/outside the cell (with gradient).
- Equal concentration on both sides (no net movement).
Row C correctly includes all three possibilities, unlike the other options which exclude one or more scenarios.
Topic: 4.2 (Movement into and out of cells)
Which statement about simple diffusion is correct?
▶️ Answer/Explanation
Ans: C
Simple diffusion is the movement of molecules from a region of high concentration to low concentration without energy input. Key points:
- (A) Incorrect: Simple diffusion does not require specific membrane molecules (unlike facilitated diffusion).
- (B) Partially correct: It is passive, but this option is not the most accurate since (C) is explicitly true.
- (C) Correct: Diffusion requires a membrane to separate concentrations (e.g., cell membrane).
- (D) Incorrect: Diffusion occurs in any system with a concentration gradient, not just cells.
Thus, the most precise answer is C.
Topic: 4.2 (Movement into and out of cells)
Plant cells with the same water potential in their cytoplasm were each put into one of three different concentrations of sugar solution, 10%, 5% and 2.5%.
The cells were left for 50 minutes and then observed using a light microscope.

Which statements are correct?
1. Cell Y had a lower water potential than the sugar solution it was put into.
2. Cell Z was put into the 10% sugar solution.
3. Cell Z had a less negative water potential than the sugar solution it was put into.
▶️ Answer/Explanation
Ans: C
1. Correct: Cell Y appears plasmolyzed, meaning water left the cell, so its water potential was lower (more negative) than the surrounding solution.
2. Incorrect: Cell Z is turgid, indicating it was in the 2.5% solution (least concentrated), not the 10% solution.
3. Correct: Cell Z gained water, so its water potential was less negative than the solution it was placed in.
Thus, only statements 1 and 3 are correct, making option C the answer.
Topic: 5.1 (Replication and division of nuclei and cells)
Which row describes some properties of stem cells?

▶️ Answer/Explanation
Ans: C
Stem cells have two key properties:
- Self-renewal: They can divide repeatedly to produce more stem cells (mitosis).
- Potency: They can differentiate into specialized cell types (e.g., muscle, nerve, or blood cells).
Option C correctly states that stem cells divide by mitosis (not meiosis) and can differentiate into specialized cells (unlike cells that are already terminally differentiated). The other options incorrectly describe stem cells as undergoing meiosis or lacking differentiation ability.
Topic: 5.1 (Replication and division of nuclei and cells)
The mitotic index is a measure of the proportion of cells that are undergoing mitosis in an area of tissue. It is calculated using the formula shown. mitotic index = (number of cells undergoing mitosis ÷ total number of cells) × 100
A scientist calculated the mitotic index of areas of onion root at different distances from the tip of the root. The results are shown.

Which statement is correct?
▶️ Answer/Explanation
Ans: C
1. Option A is incorrect: The graph shows a non-zero mitotic index beyond 1.4 mm, meaning some cell division still occurs.
2. Option B is incorrect: The graph indicates that the mitotic index (rate of cell division) increases as the distance from the root tip decreases (highest near the tip).
3. Option C is correct: The mitotic index is highest closest to the root tip (e.g., ~30% at 0.2 mm vs. ~5% at 1.4 mm), confirming that most dividing cells are near the tip.
4. Option D is incorrect: At 0.2 mm, the mitotic index is ~30%, so for 200 cells, ~60 cells (not 6) would be dividing.
Topic: 11.2 (Antibodies and vaccination)
Which molecules make up the structure of ATP?
1. adenine
2. thymine
3. deoxyribose
4. phosphate
5. ribose
▶️ Answer/Explanation
Ans: C
ATP (adenosine triphosphate) consists of:
- Adenine (1) – A nitrogenous base,
- Ribose (5) – A 5-carbon sugar (not deoxyribose),
- Three phosphate groups (4) – The energy-storing component.
Thymine (2) is a DNA base, and deoxyribose (3) is part of DNA, not ATP.
Topic: 6.1 (Structure of nucleic acids and replication of DNA)
A short piece of DNA, 19 base pairs long, was analysed to find the number of nucleotide bases in each of the polynucleotide strands. Some of the results are shown.

How many cytosines were in strand 1?
A. 2
B. 3
C. 5
D. 7
▶️ Answer/Explanation
Ans: C
From the table:
- Strand 2 has 7 thymines (T). According to base-pairing rules, these pair with adenines (A) in Strand 1.
- Thus, Strand 1 has 7 adenines (A).
- Total bases in Strand 1 = 19. Subtract the known adenines (7) and guanines (7, as given in the table): \(19 – 7 – 7 = 5\).
The remaining bases are cytosines (C), so the count is 5 (Option C).
Topic: 6.1 (Structure of nucleic acids and replication of DNA)
Which statement about the role of DNA polymerase in the process of semi-conservative replication of DNA is correct?
▶️ Answer/Explanation
Ans: C
DNA polymerase adds nucleotides only in the 5′ to 3′ direction, which allows it to continuously synthesize the leading strand. On the lagging strand, Okazaki fragments are synthesized discontinuously. While option D mentions the 5′ to 3′ direction correctly, it incorrectly states that DNA polymerase moves along both strands simultaneously. Option C is the most accurate as it specifies the leading strand synthesis, which is continuous and direct.
Topic: 6.2 (Protein synthesis)
The diagram shows the process of translation occurring at a ribosome.

What is the base sequence at S?
▶️ Answer/Explanation
Ans: C
In translation, the ribosome reads the mRNA sequence to assemble amino acids. The base sequence at S corresponds to the anticodon of the tRNA carrying the amino acid. Since the tRNA pairs with the mRNA codon via complementary base pairing (A-U, C-G), and the diagram shows the growing polypeptide chain, the correct sequence must match the mRNA codon being translated.
Given the options, GAU (C) is the most plausible anticodon sequence for a tRNA involved in protein synthesis, as it aligns with standard base-pairing rules and is commonly found in biological systems.
Topic: 7.1 (Structure of transport tissues)
Which row correctly explains how the structures of phloem sieve tube elements and xylem vessel elements are related to their functions as transport systems?

▶️ Answer/Explanation
Ans: C
Phloem sieve tube elements have sieve plates to allow bidirectional flow of organic nutrients (translocation), while xylem vessel elements are dead, hollow cells with lignified walls for structural support and unidirectional water transport. The table’s Row C accurately matches these structural adaptations to their functions, making it the correct choice.
Topic: 7.2 (Transport mechanism)
Which component of plants is used by the apoplast pathway as water is moved from the soil to the xylem?
▶️ Answer/Explanation
Ans: C
The apoplast pathway allows water to move through cell walls and intercellular spaces without entering cells. However, when water reaches the endodermis, the Casparian strip (made of suberin) blocks further apoplastic movement, forcing water to enter the symplast pathway. Thus, the endodermis is the critical structure that interacts with the apoplast pathway, making (C) the correct answer. (Note: The Casparian strip itself is part of the endodermal cells but is not the primary structure used by the apoplast pathway—rather, it redirects the flow.)
Topic: 7.2 (Transport mechanism)
Which statements correctly describe transport pathways in dicotyledonous plants?
1. In the symplast pathway, water may move through intercellular spaces.
2. The symplast pathway may be blocked by the tonoplast.
3. In the apoplast pathway, water does not move through plasmodesmata.
4. The apoplast pathway may be blocked by the Casparian strip.
▶️ Answer/Explanation
Ans: D
Statement 3 is correct: The apoplast pathway involves water movement through cell walls and intercellular spaces, not plasmodesmata (which are part of the symplast pathway).
Statement 4 is correct: The Casparian strip in the endodermis blocks the apoplast pathway, forcing water and solutes into the symplast.
Statement 1 is incorrect: The symplast pathway involves movement through cytoplasm and plasmodesmata, not intercellular spaces.
Statement 2 is incorrect: The tonoplast surrounds the vacuole but does not block the symplast pathway.
Thus, only 3 and 4 are correct, making D the right answer.
Topic: 9.1 (The gas exchange system)
Plants, such as the tobacco plant, retain very little of the water they take in and the volume of water lost during transpiration is very high. This is because these plants can only absorb carbon dioxide through open stomata.
Plants use carbon dioxide to synthesise glucose molecules. It is estimated that 400 molecules of water are lost for each carbon dioxide molecule gained.
How many water molecules are lost for a plant to synthesise one molecule of glucose?
▶️ Answer/Explanation
Ans: D
To synthesize one glucose molecule (C6H12O6), plants require 6 CO2 molecules (from the photosynthesis equation: 6CO2 + 6H2O → C6H12O6 + 6O2).
Given that 400 water molecules are lost per CO2 absorbed:
- Total water lost = 6 CO2 × 400 H2O/CO2 = 2400 H2O molecules.
Thus, the correct answer is D (2400).
Topic: 7.2 (Transport mechanism)
Which changes occur as sucrose is transferred from leaves into phloem sieve tubes to be transported to a sink?

▶️ Answer/Explanation
Ans: C
1. Water Potential: When sucrose is actively loaded into sieve tubes, it decreases the water potential (makes it more negative) because solute concentration increases.
2. Hydrostatic Pressure: Water enters the sieve tubes by osmosis due to the lower water potential, increasing the hydrostatic pressure. This pressure drives the flow of phloem sap to sinks.
Thus, the correct combination is decreased water potential and increased hydrostatic pressure (Option C).
Topic: 7.2 (Transport mechanism)
The graph shown does not have any axis labels.

Which row shows appropriate labels for the axes that would explain mass flow in phloem?

▶️ Answer/Explanation
Ans: C
Mass flow in phloem involves the transport of sucrose from source (e.g., leaves) to sink (e.g., roots/fruits). The graph likely depicts:
- X-axis (Independent variable): Distance along the phloem (from source to sink).
- Y-axis (Dependent variable): Sucrose concentration (high at the source, low at the sink).
Option C matches this relationship, as sucrose concentration decreases with distance from the source due to unloading at sinks. The other options misrepresent phloem transport (e.g., water potential is not the primary Y-axis variable, and “pressure” alone does not explain sucrose flow).
Topic: 8.1 (The circulatory system)
What is present in the blood in human veins?
1. chloride ions
2. carbonic anhydrase
3. oxyhaemoglobin
▶️ Answer/Explanation
Ans: C
1. Chloride ions (1): Present in plasma as electrolytes, maintaining osmotic balance.
2. Carbonic anhydrase (2): Primarily found in red blood cells, not free in venous blood plasma.
3. Oxyhaemoglobin (3): Present in veins (e.g., pulmonary veins) carrying oxygenated blood, though in lower concentrations than arteries.
Since carbonic anhydrase is enzyme-bound and not freely circulating, Option C (1 and 3 only) is correct.
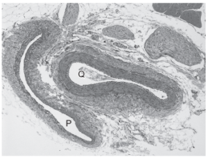
Topic: 8.1 (The circulatory system)
The photomicrograph shows two blood vessels P and Q.
Both these blood vessels are part of a network which transports blood around the body.

Which row is correct for blood vessel P and blood vessel Q?

▶️ Answer/Explanation
Ans: C
Key Observations:
- Blood Vessel P has a thick muscular wall and narrow lumen, identifying it as an artery (carries blood away from the heart).
- Blood Vessel Q has a thin wall with valves, identifying it as a vein (returns blood to the heart).
Why Other Options Are Incorrect:
- Option A incorrectly identifies P as a vein and Q as an artery.
- Option B incorrectly states both vessels carry blood to the heart.
- Option D incorrectly states both vessels carry blood away from the heart.
Topic: 8.1 (The circulatory system)
The diagram shows a blood capillary and the tissue fluid which surrounds it.

Tissue fluid is formed when fluid and solutes from blood plasma pass through tiny gaps in the capillary wall. Most tissue fluid is then returned to the blood in the capillary.
Which pressures will be needed at points W, X, Y and Z so that this system can function?

▶️ Answer/Explanation
Ans: C
The formation and return of tissue fluid is governed by hydrostatic pressure (pushing fluid out) and osmotic pressure (pulling fluid back in):
- At the arterial end (W and X): High hydrostatic pressure (W) overcomes osmotic pressure (X), forcing fluid out to form tissue fluid.
- At the venous end (Y and Z): Hydrostatic pressure (Y) drops below osmotic pressure (Z), allowing fluid to return to the capillary.
Thus, the correct pressure combination is C (W > X and Y < Z), matching the physiological mechanism.
Topic: 8.3 (The heart)
What happens during ventricular systole in a mammalian heart?
▶️ Answer/Explanation
Ans: C
During ventricular systole: 1. The semilunar valves (aortic and pulmonary) close to prevent backflow of blood into the ventricles when they relax. 2. Atrioventricular valves (mitral and tricuspid) remain closed to prevent backflow into atria (not open as in option B). 3. Ventricular pressure increases (not decreases as in option D) as the ventricles contract. 4. Aortic pressure actually decreases slightly during ventricular systole as blood is ejected (contrary to option A).
Thus, the only correct statement is that semilunar valves close (Option C).
Topic: 9.1 (The gas exchange system)
The photomicrograph shows a part of the human gas exchange system with one tissue labelled P.

Which row is correct?

▶️ Answer/Explanation
Ans: C
The photomicrograph shows a cross-section of a bronchus or bronchiole. The tissue labelled P is smooth muscle, which is responsible for controlling the diameter of the airways to regulate airflow.
Key features to identify:
- Smooth muscle appears as layers of spindle-shaped cells.
- It is distinct from cartilage (which is absent in bronchioles but present in bronchi as C-shaped rings).
- Goblet cells are found in the epithelial lining, not in the muscle layer.
Thus, the correct row is C, which accurately describes the structure and function of smooth muscle in the gas exchange system.
Topic: 9.1 (The gas exchange system)
How many times must a molecule of oxygen pass through a cell surface membrane as it diffuses from the airspace inside an alveolus, through a cell in the capillary wall, to bind to a molecule of haemoglobin?
▶️ Answer/Explanation
Ans: B
An oxygen molecule must cross 4 membranes to move from the alveolus to haemoglobin:
1. Alveolar epithelium (outer membrane),
2. Capillary endothelium (outer membrane),
3. Red blood cell membrane (to enter),
4. Red blood cell membrane again (to bind haemoglobin).
Thus, the correct answer is B (4).
Topic: 10.1 (Infectious diseases)
A student wrote four statements about cholera.
Which statement is not correct?
▶️ Answer/Explanation
Ans: C
Cholera is caused by the bacterium Vibrio cholerae (B) and spreads via contaminated water/food (ingestion). While vaccines exist (A), they offer short-term protection. Animal vectors (e.g., flies) can mechanically transmit cholera (D). However, HIV/AIDS does not increase cholera risk (C)—it weakens immunity against opportunistic infections (e.g., tuberculosis), not waterborne diseases like cholera. Thus, (C) is incorrect.
Topic: 11.2 (Antibodies and vaccination)
Monoclonal antibodies are produced using the hybridoma method.
What are removed from the spleen of a mouse to produce monoclonal antibodies?
▶️ Answer/Explanation
Ans: C
In the hybridoma method for monoclonal antibody production:
- Lymphocytes (B cells) are extracted from the spleen of a mouse immunized with the target antigen. These cells produce specific antibodies but cannot divide indefinitely.
- These lymphocytes are fused with myeloma cells (cancerous B cells) to create hybridomas, which combine antibody production with unlimited division.
Thus, lymphocytes (C) are the correct answer, as they are the initial antibody-producing cells removed from the spleen. Antigens (A) are not removed, clones (B) are produced later, and myeloma cells (D) are added in the lab, not extracted from the mouse.
