Topic: 8.1
The sinoatrial node (SAN) and the atrioventricular node (AVN) have an important role in the control of the cardiac cycle. The timing of atrial and ventricular systole and diastole must be controlled so that blood passes through the heart efficiently.
(a) Fig. 1.1 is a summary of blood flow through the right side of the heart during one cardiac cycle. Three boxes in Fig. 1.1 are not complete. Complete boxes 3, 5 and 7 in Fig. 1.1 using only the terms systole and diastole.

(b) Impulses sent out by the SAN pass to the AVN, where there is a short delay.
With reference to Fig. 1.1, explain why it is important for the control of the cardiac cycle that there is a short delay at the AVN after impulses have been sent out by the SAN.
(c) Changes in blood pressure occur in the heart during the cardiac cycle. These changes cause the opening and closing of the bicuspid and tricuspid (atrioventricular) valves and the aortic and pulmonary (semilunar) valves.
Explain how blood pressure changes:
• cause the opening of the tricuspid valve
• cause the opening of the pulmonary valve
• help the flow of blood through the heart.
▶️ Answer/Explanation
(a)
Explanation: The completed boxes show:
Box 3: Atrial systole (atria contract to push blood into ventricles).
Box 5: Ventricular systole (ventricles contract to pump blood into pulmonary artery).
Box 7: Diastole (both chambers relax, allowing blood to fill the heart).
(b) Coordination ensures:
1. Atria contract (systole) before ventricles to fully fill them.
2. Prevents simultaneous contraction, which would reduce pumping efficiency.
3. Allows complete emptying of atria and proper ventricular filling.
(c) Valve operation depends on pressure gradients:
– Tricuspid valve: Opens when atrial pressure > ventricular pressure (during atrial systole). Closes when ventricular pressure rises (ventricular systole).
– Pulmonary valve: Opens when ventricular pressure > pulmonary artery pressure (ventricular systole). Closes when ventricular pressure drops (diastole).
This ensures one-way blood flow and prevents backflow.
Topic: 2.2
Fig. 2.1 is a photomicrograph of a longitudinal section (LS) through a root tip. Two different regions are visible:
• the root apical meristem
• the root cap.
Cells in the root cap synthesise a gel-like, sticky secretion known as mucilage, which is important in reducing friction between soil and the growing root. It is composed mainly of polysaccharides and also contains some amino acids and enzymes.

Describe three differences, visible in Fig. 2.1, between root apical meristem cells and root cap cells.
(b) Mucilage acts as a glue to bind tiny soil particles together, forming small clumps close to the root. These small clumps help to maintain the soil water around the root tip and prevent the loss of water.
With reference to the cohesive and adhesive properties of water, suggest and explain how the formation of small clumps of soil helps to maintain the soil water around the root tip.
(c) Enzymes present in mucilage catalyse the breakdown of organic compounds in the soil. This increases the presence of mineral ions in the soil.
State the term used to describe enzymes that act outside the cells that synthesise them.
(d) The polysaccharides and amino acids present in the mucilage are a source of nutrients for soil microorganisms that live in the area surrounding the root. Some of these microorganisms can break down soil compounds to release mineral ions.
(i) Explain what is meant by a polysaccharide.
(ii) The soil microorganisms use amino acids to synthesise proteins. All of the twenty different amino acids that are present in proteins have the same general structure.
Draw the general structure of an amino acid in the space provided and use this drawing to explain how it is possible to have many different amino acids.
(iii) Mineral ions are usually present in the soil in very low concentrations. The action of mucilage enzymes and soil microorganisms can help to increase the presence of mineral ions.
Root hair cells are specialised for the uptake of these mineral ions and for the absorption of water from the soil.
Suggest and explain how the presence of mineral ions in the root hair cell can increase the absorption of water by the root hair cells.
▶️ Answer/Explanation
2(a)

Explanation: The photomicrograph distinguishes blood vessels P (artery) and Q (vein) based on structural differences. Arteries have thicker muscular walls and a smaller lumen, while veins have valves and a larger lumen to facilitate blood flow under lower pressure.
2(b)
1. Water molecules form hydrogen bonds, creating cohesive forces.
2. Cohesion between water molecules maintains continuous water columns in xylem.
3. Adhesion of water to soil particles/clumps ensures water retention near roots.
Explanation: Hydrogen bonding enables cohesion (water-water attraction) and adhesion (water-soil attraction), stabilizing water availability for root absorption and transport.
2(c)
Extracellular enzymes.
Explanation: Root cells secrete extracellular enzymes to break down organic matter in soil, releasing nutrients like minerals for absorption.
2(d)(i)
Polysaccharides are polymers of monosaccharides linked by glycosidic bonds.
Explanation: Examples include starch and cellulose, which are long chains of glucose monomers with 1,4- or 1,6-glycosidic bonds, serving as energy storage or structural components.
2(d)(ii)

Explanation: The general structure of an amino acid includes an amino group (NH2), carboxyl group (COOH), hydrogen atom, and a variable R-group, which determines the amino acid’s properties.
2(d)(iii)
1. Mineral ions dissolve in water, lowering cellular water potential.
2. A steeper water potential gradient drives osmosis into root cells.
3. Water uptake is coupled with ion absorption for nutrient balance.
Explanation: Solutes like minerals reduce water potential in root cells, creating an osmotic gradient that draws water from the soil, facilitating nutrient uptake.
Topic: 11.1
Cells of the immune system respond to the presence of non-self antigens.
(a) Outline the features of non-self antigens.
(b) Four different types of cells of the immune system are shown in Table 3.1. Complete Table 3.1:
- Use a tick (✓) if the description applies to the named cell of the immune system.
- Use a cross (✗) if the description does not apply.

(c) The cell cycle can be divided into different parts. Complete sentences A, B, and C to provide more information about the mitotic cell cycle.
A. The part of the cell cycle that occurs immediately after mitosis is
B. The part of the cell cycle in which the S phase occurs is
C. The main event that occurs during the S phase is
▶️ Answer/Explanation
(a) Non-self antigens are foreign molecules (e.g., proteins, glycoproteins, or polysaccharides) that:
- Stimulate an immune response by activating immune cells (e.g., lymphocytes, phagocytes).
- Bind to specific antibodies or lymphocyte receptors due to complementary shapes.
- Are found on pathogens, infected cells, or toxins.
Explanation: These features allow the immune system to distinguish “foreign” invaders from the body’s own cells.
(b) Completed Table 3.1:

Explanation: – B-lymphocytes produce antibodies (✓ in column 1). – Macrophages engulf pathogens (✓ in column 2) but do not produce antibodies (✗ in column 1). – T-killer cells destroy infected cells (✓ in column 3). – Neutrophils are phagocytic (✓ in column 2) but not antigen-presenting (✗ in column 4).
(c) A. Cytokinesis (cytoplasmic division). B. Interphase (longest phase of the cell cycle). C. DNA replication (semi-conservative synthesis of sister chromatids).
Explanation: – Cytokinesis completes cell division after mitosis. – Interphase includes G1, S (DNA synthesis), and G2 phases. – The S phase ensures genetic material is duplicated for daughter cells.
Topic: 10.1
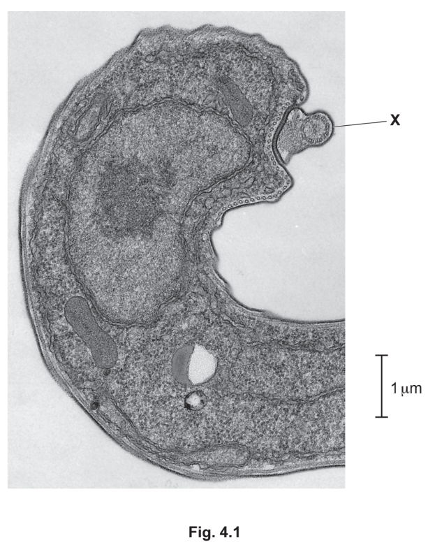
Trypanosoma brucei is a unicellular organism that causes the infectious disease known as sleeping sickness. Insects known as tsetse flies pass on the organism from infected people to uninfected people when male and female tsetse flies feed on human blood.
(a) Fig. 4.1 is a transmission electron micrograph of the form of T. brucei found in human blood.

(i) Draw an arrow on Fig. 4.1 to indicate the location in the cell where ribosomal RNA (rRNA) and proteins are assembled to make ribosomal subunits.
(ii) With reference to Fig. 4.1, explain how the structure labelled X provides evidence that T. brucei is motile (able to move).
(iii) With reference to Fig. 4.1, explain whether T. brucei is a eukaryote or prokaryote.
(b) Malaria is an infectious disease caused by organisms belonging to the genus Plasmodium.
(i) State the term used to describe an organism that causes disease.
(ii) Name one of the species of Plasmodium that causes malaria.
(c) Outline the similarities and differences between the modes of transmission of malaria and sleeping sickness.
▶️ Answer/Explanation
(a)(i)

Explanation: The arrow points to the nucleolus, where rRNA and proteins assemble to form ribosomal subunits.
(a)(ii) Structure X is a flagellum, evidenced by its 9+2 microtubule arrangement and cylindrical shape, enabling motility.
Explanation: The flagellum’s microtubule structure and external position allow whip-like movements, propelling the cell.
(a)(iii) T. brucei is a eukaryote due to its nucleus, mitochondria, and membrane-bound organelles, absent in prokaryotes.
Explanation: The presence of a nuclear envelope, nucleolus, and complex organelles confirms its eukaryotic nature.
(b)(i) Pathogen.
Explanation: A pathogen is any organism that causes disease, including parasites like T. brucei.
(b)(ii) Plasmodium falciparum (or P. vivax, P. ovale, P. malariae).
Explanation: These species are known to cause malaria in humans, with P. falciparum being the most lethal.
(c)
Similarities: Both are vector-borne (tsetse flies for sleeping sickness, mosquitoes for malaria) and transmitted via blood meals.
Differences: Only female Anopheles mosquitoes transmit malaria, while both male and female tsetse flies transmit sleeping sickness.
Explanation: The key difference lies in the vector species and their feeding behaviors, though both rely on insect vectors.
Topic: 5.2
Nucleotide and nucleoside analogues are therapeutic drugs that have a similar structure to nucleotides or nucleosides of RNA and DNA. A nucleoside is composed of a nitrogenous organic base (base) and a pentose sugar.
(a) The names of the bases present in RNA and DNA nucleotides can be abbreviated using a single letter. These are shown in Table 5.1. Complete Table. 5.1 by stating:
- the name of each base
- whether the base is a purine or pyrimidine
- whether the base is present
- only in an RNA molecule (write RNA in the table)
- only in a DNA molecule (write DNA in the table)
- in RNA and in DNA molecules (write the word both in the table).

(b) Abacavir is an analogue drug used in the treatment of some viral diseases. It enters a cell infected by a virus and is metabolised to the analogue carbovir triphosphate. Fig. 5.1 shows the molecular structure of abacavir and carbovir triphosphate.

Carbovir triphosphate can be inserted into an elongating polynucleotide chain instead of a nucleotide. This interferes with the action of DNA polymerase during the synthesis of viral DNA.
(i) With reference to Fig. 5.1, explain whether carbovir triphosphate will replace a purine or a pyrimidine nucleotide in the elongating polynucleotide chain.
(ii) With reference to Fig. 5.1 and the action of DNA polymerase, suggest why the conversion of abacavir to carbovir triphosphate increases the chance of the analogue being added to the viral polynucleotide chain.
(iii) Suggest and explain how carbovir triphosphate interferes with the action of DNA polymerase and how this may prevent the synthesis of viral DNA.
▶️ Answer/Explanation
(a)

Explanation: The table is completed as follows: Adenine (A) and Guanine (G) are purines present in both RNA and DNA. Cytosine (C) is a pyrimidine present in both, while Thymine (T) is a pyrimidine found only in DNA. Uracil (U) is a pyrimidine exclusive to RNA.
(b)(i) purine because it is a, double ring structure / has two rings ;
Explanation: Carbovir triphosphate replaces a purine nucleotide (adenine/guanine) because it has a double-ring structure, matching the purine base structure in DNA/RNA.
(b)(ii) any two from:
- carbovir triphosphate is (similar to / same as), an activated nucleotide / a nucleotide / not a nucleoside ;
- carbovir triphosphate, has (three) phosphates / is activated / is phosphorylated ;
- detail of, (DNA) polymerase action / (activated DNA) nucleotides ;
- ref. to triangle / triangular cycloalkane, no longer present / not on DNA nucleotides ;
Explanation: Conversion to carbovir triphosphate makes it resemble activated nucleotides (with three phosphates), enabling DNA polymerase to incorporate it into the growing chain. The absence of the triangular cycloalkane group further enhances compatibility.
(b)(iii) any four from:
- prevents polymerase from adding DNA nucleotide to growing chain / AW ;
- similar shape to, substrate / (activated / phosphorylated) nucleotide ;
- acts as an inhibitor ;
- fits into / binds to, active site of, enzyme / DNA polymerase ;
- (DNA polymerase) may not form phosphodiester bonds ;
- ref. to proofreading mechanism ;
Explanation: Carbovir triphosphate acts as a competitive inhibitor, binding to DNA polymerase’s active site and blocking further nucleotide addition. Its structural similarity allows incorporation but disrupts phosphodiester bond formation, halting viral DNA synthesis.
Topic: 7.1
The Weibel Lung model was developed after an extensive study of the gas exchange system. The model includes detailed measurements of airway diameters (lumen diameters of the airways). In the model, different parts of the gas exchange system are identified with a generation number, as outlined in Fig. 6.1.

(a) The Weibel Lung model describes how each airway divides into two. Name the airways in generation 1, labelled X in Fig. 6.1, that branch from generation 0.
(b) The airways are well supplied with blood. However, the airways from generation 0 to generation 16, shown in Fig. 6.1, are not able to carry out gas exchange. Suggest why the airways from generation 0 to generation 16 are not able to carry out gas exchange.
(c) High-resolution computed tomography (HRCT) is an imaging technique that is used to obtain measurements of airway diameters in people with a pulmonary (lung) disease. Regular, repeated imaging must be avoided because it involves exposure to harmful radiation. Scientists researched the use of a different technique, HP gas MRI, that does not involve harmful radiation. Two types of MRI image, known as projection and multi-Slice, were used to obtain measurements of airway diameters. Fig. 6.2 shows the results of the HP gas MRI study compared with the Weibel Lung model, for generations 0 to 5. The Weibel Lung model was used as a standard reference for airway diameters.


(i) State the relationship shown in Fig. 6.2 between airway diameter and airway generation for the Weibel Lung model data.
(ii) With reference to the data in Fig. 6.2, explain whether HP gas MRI could be a useful alternative to HRCT in obtaining airway diameter measurements.
▶️ Answer/Explanation
(a) Bronchi (left and right bronchus)
Explanation: Generation 0 is the trachea, which bifurcates into the primary bronchi (generation 1). These are labelled X in Fig. 6.1.
(b) Reasons for no gas exchange in generations 0–16:
- Thick walls: Multiple tissue layers (e.g., smooth muscle, cartilage) increase diffusion distance.
- Blood supply: Systemic circulation (oxygenated blood) lacks a concentration gradient for gas exchange.
- Structural role: These airways conduct air rather than facilitate diffusion (no alveoli).
Key point: Gas exchange occurs only in alveoli (generation 17+), where walls are thin and pulmonary blood flow creates gradients.
(c)(i) Inverse relationship: As airway generation increases, diameter decreases.
Explanation: The Weibel model shows a logarithmic decrease in diameter with each branching generation (e.g., trachea ≈18 mm, generation 5 ≈2 mm).
(c)(ii) HP gas MRI as an alternative:
Advantages:
- No radiation: Safe for repeated use, unlike HRCT.
- Comparable data: Both projection and multi-slice MRI follow the Weibel trend (e.g., decreasing diameter with generation).
Limitations:
- Discrepancies: MRI measurements slightly deviate from Weibel’s reference (e.g., projection MRI underestimates generation 3).
Conclusion: HP gas MRI is a viable alternative for tracking disease progression without radiation risks.

