IB Biology SL (Standard level)- 2024 – Practice Questions- All Topics
Topic 3.1 Genes
Topic 3 Weightage : 23%
All Questions for Topic 3.1 –Genes and Loci, Alleles, Mutations, Genome, Gene Comparisons, Types of Mutations, Sickle Cell versus Malaria, Genome Structure, Pseudogenes
Question
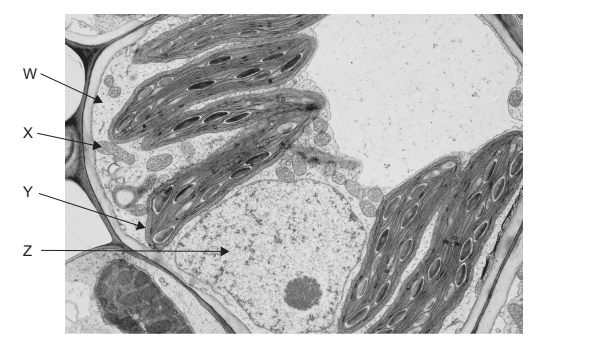
The electron micrograph shows a section through a plant cell.

In which structure(s) is the genome of the cell contained?
Z only
X, Y and Z only
W and X only
X and Y only
▶️Answer/Explanation
Ans: B
According to the given digram,
Z represents the nucleoplasm, containing nucleolus and chromatin where the main genome of plant is packed.
Y represent a chloroplast, where they have their own genome.
X represents a mitochondrion, having their own genome also.
What distinguishes an allele from a gene?
A. An allele is made of RNA.
B. An allele is shorter.
C. An allele is a variety of a gene.
D. An allele cannot be transferred during genetic modification.
▶️Answer/Explanation
Markscheme
Ans: C

A gene is a short sequence of DNA encoding a specific trait or function that is passed down from parents to offspring. It is the basic unit of heredity and determines the genetic traits of all individuals.
An allele is a variant form of a gene that arises by mutation and exists at the same locus as another allele for the same gene. Alleles are responsible for diverse features such as skin, hair or eye color. A gene can have many different alleles. An individual contains a pair of alleles for each gene.
Question
What is the name given to a heritable factor which controls a specific characteristic?
A. Allele
B. Chromosome
C. Gene
D. Mutation
▶️Answer/Explanation
Markscheme
Ans:C

A gene is a unit of hereditary information that occupies a fixed position (locus) on a chromosome. Genes achieve their effects by directing the synthesis of proteins. Each gene contains sequences of DNA that are instructions for making specific proteins. These proteins lead to the expression of specific physical characteristics like hair color, height, and eye color. They can also determine a person’s risk of having or developing certain genetic disorders.
Question
What is a difference between two alleles of a gene?
A. Their positions on homologous chromosomes
B. Their amino acid sequence
C. The characteristic they influence
D. Their base sequence
▶️Answer/Explanation
Ans:D

A gene is a unit of hereditary information that codes for a certain trait. An allele is a variant form of a gene that may have different effects on the trait. For example, eye color is a trait that is determined by a gene, but there are different alleles of that gene that can produce blue, brown, green or other eye colors.
Each organism has two alleles for every gene, one on each chromosome. If the two alleles are the same (e.g., both coding for blue eyes), they are called homozygotes. If they are different (e.g., one for blue eyes and one for brown eyes), they are called heterozygotes. Some alleles are dominant, meaning they override the effects of other alleles, and some are recessive, meaning they are masked by dominant alleles. Some alleles are codominant, meaning they both contribute to the trait equally.
