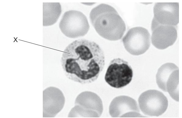
Question
The photomicrograph shows some blood cells.

Which row shows the name and function of the cell labelled $X$?

▶️ Answer/Explanation
✅ Answer: (C)
The diagrams show four components of blood. Which component produces antibodies?

▶️ Answer/Explanation
Ans: B
Antibodies are produced by B-lymphocytes (a type of white blood cell). Among the blood components shown, B represents a lymphocyte, identifiable by its large nucleus and clear cytoplasm. Red blood cells (A), platelets (C), and plasma (D) do not synthesize antibodies.
Thus, the correct answer is B.
The diagram shows a component of blood.

What is the name of this component?
A) lymphocyte
B) phagocyte
C) platelet
D) red blood cell
▶️ Answer/Explanation
Ans: B
The diagram depicts a phagocyte (B), a type of white blood cell that engulfs and digests pathogens. Its irregular shape and lobed nucleus are key identifying features.
Lymphocytes (A) are smaller with a large round nucleus, platelets (C) are tiny cell fragments, and red blood cells (D) are biconcave and lack a nucleus. Thus, the correct answer is B (Phagocyte).
