CIE iGCSE Biology Paper 1 Prediction - 2025
CIE iGCSE Biology Paper 1 Prediction – 2025
Preparing for your IGCSE exam can be daunting, but with the right approach, you can achieve your goals with CIE iGCSE Biology Paper 1 Prediction
Ace your iGCSE exam! Find exam-style questions, detailed notes, and helpful resources to boost your understanding
iGCSE Practice Questions, Past Papers , Flashcards and notes available for iGCSE Students at IITian Academy.
Question 1
The diagram shows an experiment to find out if carbon dioxide is necessary for photosynthesis.
The plant is kept in the dark for 48 hours to remove any starch. Then it is set up in the light, as shown.

After 10 hours, leaves X and Y were tested for starch.
What is the expected result?

▶️Answer/Explanation
Ans : C
Question 2
Donkeys and zebras are different species. They can breed to produce an animal called a zedonk. Zedonks are not fertile. Which statement is correct?
A Zedonks and donkeys are the same species.
B Zedonks and zebras are the same species.
C Zedonks are a species.
D Zedonks are not a species
▶️Answer/Explanation
Ans D
Question 3
The photograph shows an elephant hawk-moth.

Using the features visible in the photograph, to which group of arthropods does the elephant hawk-moth belong?
A arachnids
B crustaceans
C insects
D myriapods
▶️Answer/Explanation
Ans C
Question 4
A cell was viewed under a microscope. The actual length of the cell is 0.025 mm. The magnification of the image is ×400.
What is the length of the cell in the image?
(A) 10 mm
(B) 100 mm
(C) 1600 mm
(D) 16 000 mm
▶️Answer/Explanation
Ans : A
Question 5
A plant cell is viewed using a microscope with a magnification of 500. The image of the cell has a width of 20 mm.
What is the actual width of the cell?
(A) 0.04 mm
(B) 0.2 mm
(C) 4 mm
(D) 25 mm
▶️Answer/Explanation
Ans: A
Question 6
Root hair cells are found on plant roots.
Which feature is present in a root hair cell but not in a sperm cell?
(A) cell membrane
(B) cell wall
(C) chloroplasts
(D) cytoplasm
▶️Answer/Explanation
Ans : B
Question 7
Which characteristics are correct for both osmosis and diffusion?

▶️Answer/Explanation
Ans C
Question 8
Which row describes active transport?

▶️Answer/Explanation
Ans: D
Question 9
DCPIP can be used to test for vitamin C in food. Lemon juice contains vitamin C. When lemon juice is tested with DCPIP what are the results?
(A) starts blue, finishes colourless
(B) starts colourless, finishes blue
(C) stays blue
(D) stays colourless
▶️Answer/Explanation
Ans A
Question 10
A sample of food is tested with different chemical substances.
The table shows the results.

Which nutrients does the sample of food contain?
A) protein and vitamin C
B) protein only
C) starch and reducing sugar
D) starch and vitamin C
▶️Answer/Explanation
Ans: A
Question 11
The graph shows the effect of temperature on the activity of an enzyme.

At which temperature is the enzyme most active?
(A) 15 ºC
(B) 25 ºC
(C) 35 ºC
(D) 60 ºC
▶️Answer/Explanation
Ans : C
Question 12
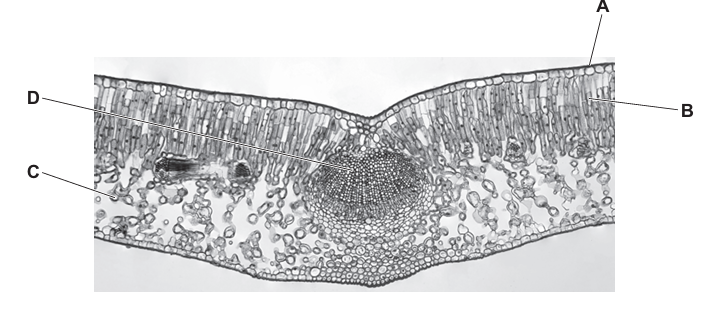
The diagram shows a cross-section of part of a leaf.
Which type of cell carries out the most photosynthesis?

▶️Answer/Explanation
Ans: A
Question 13
The diagram shows how water is lost from a leaf.

By which process is the water lost?
A osmosis
B photosynthesis
C translocation
D transpiration
Answer/Explanation
Ans: D
Question 14
The diagram shows two guard cells from a leaf.
Which labelled part would also be found in sperm cells?

▶️Answer/Explanation
Ans: A
Question 15
Which food would add more fibre as part of a balanced diet?
A) black beans
B) cheese
C) eggs
D) tuna fish
▶️Answer/Explanation
Ans: A
Question 16

The diagram shows the digestive system and some of its associated organs. Which label identifies the liver?
▶️Answer/Explanation
Ans A
Question 17
Which organs are involved in physical digestion?

▶️Answer/Explanation
Ans B
Question 18
The diagrams show four methods of birth control.

What are barrier methods of birth control?

▶️Answer/Explanation
Ans : C
Question 19
The photograph shows part of a cross-section of a root.

The root hair and the xylem are part of the same
A) cell and organism.
B) cell and tissue.
C) organ and organism.
D) tissue and organ.
▶️Answer/Explanation
Ans: C
Question 20
The diagram shows part of the trunk of a small tree with a ring of bark removed. Removing the
ring of bark takes away phloem but leaves the xylem intact.

What effect will removing the bark have on the two branches?

Answer/Explanation
Ans: C
Question 21
The list shows statements about selection.
1 Individuals reproduce and pass on their alleles to the next generation.
2 Genetic variation exists between individuals and many offspring are produced.
3 Individuals struggle for survival and compete for resources.
4 Individuals that are better adapted to the environment survive.
5 Individuals with desirable features are selected by humans.
Which statements are correct descriptions of natural selection?
A 1, 2, 3 and 4
B 1, 2 and 5 only
C 2, 3 and 4 only
D 3, 4 and 5 only
▶️Answer/Explanation
Ans A
Question 22

Which graph shows the effect of increasing wind speed on the rate of transpiration?
▶️Answer/Explanation
Ans A
Question 23
The photomicrograph shows a cross-section through a leaf.
Which structure is the cuticle?

▶️Answer/Explanation
Ans: A
Question 24

The diagrams show sections through three blood vessels, which are not drawn to the same scale.
Some red blood cells are shown in vessel 3. In which order will red blood cells flow through these vessels when travelling from the right ventricle
to the left atrium of the heart?
A 1 → 2 → 3
B 1 → 3 → 2
C 2 → 3 → 1
D 3 → 1 → 2
▶️Answer/Explanation
Ans B
Question 25
The diagram shows part of the human circulatory system

What are the numbered blood vessels?

▶️Answer/Explanation
Ans: C
Question 26
The diagram shows one way the body defends itself against pathogens.

Answer/Explanation
Ans: C
Question 27
Which statement about the formation of urea is correct?
(A) Urea is formed in the kidneys from excess amino acids.
(B) Urea is formed in the liver from excess amino acids.
(C) Urea is formed in the kidneys from excess fatty acids.
(D) Urea is formed in the liver from excess fatty acids.
▶️Answer/Explanation
Ans: B
Question 28
Which endocrine gland secretes insulin?
(A) adrenal
(B) ovary
(C) pancreas
(D) testis
▶️Answer/Explanation
Ans: C
Question 29
A plant pot is placed on its side. Which diagram shows a plant with roots showing gravitropism and shoots showing phototropism?

▶️Answer/Explanation
Ans C
Question 30
The diagram shows the alimentary canal and some of the associated organs in a cat. The
alimentary canal of a cat is similar to that of a human. 
Which row identifies the structures labelled 1-4?

▶️Answer/Explanation
Ans: B
Question 31
In an experiment, bacteria were grown on agar. Four paper discs, A, B, C and D, were placed on top of the agar. Each paper disc contained a different antibiotic. The diagram shows the agar after 48 hours. The clear areas show where bacteria are not growing. Which antibiotic are the bacteria most resistant to?

▶️Answer/Explanation
Ans B
Question 32
The diagram represents enzyme action in a chemical reaction.

What are parts W, X and Y in this chemical reaction? 
▶️Answer/Explanation
Ans C
Question 33

At which point in the diagram does fertilisation happen?
▶️Answer/Explanation
Ans C
Question 34
Which sex chromosomes are present in a human sperm cell?
A) both X and Y chromosomes
B) either X or Y chromosomes
C) only X chromosomes
D) only Y chromosomes
▶️Answer/Explanation
Ans: B
Question 35
The diagram shows some structures associated with human excretion. Which structure excretes urea?

▶️Answer/Explanation
Ans A
Question 36
The graph shows the percentage of a population with different phenotypes for the same characteristic.

Which characteristic in humans is represented by X?
A) ABO blood groups
B) arm length
C) height
D) mass
▶️Answer/Explanation
Ans: A
Question 37
The list shows statements about selection.
1 Individuals reproduce and pass on their alleles to the next generation.
2 Genetic variation exists between individuals and many offspring are produced.
3 Individuals struggle for survival and compete for resources.
4 Individuals that are better adapted to the environment survive.
5 Individuals with desirable features are selected by humans.
Which statements are correct descriptions of natural selection?
A 1, 2, 3 and 4
B 1, 2 and 5 only
C 2, 3 and 4 only
D 3, 4 and 5 only
▶️Answer/Explanation
Ans A
Question 38
Which statement describes a population?
(A) all the three-spined stickleback fish living in a lake
(B) all the organisms living in a lake
(C) all the fish living in a lake
(D) all the three-spined stickleback fish that have ever lived in a lake
▶️Answer/Explanation
Ans: A
Question 39
What is a correct ecological definition?
A A community is a group of organisms of one species living in the same area.
B An ecosystem is a community of organisms and their environment interacting together.
C A population is a group of different species living together.
D A species is all of the different organisms living in a community
▶️Answer/Explanation
Ans B
Question 40
The block at the base of each pyramid represents the number of producers.
Which pyramid of numbers has more tertiary consumers than secondary consumers?

▶️Answer/Explanation
Ans : C
