CIE iGCSE Co-ordinated Sciences-B7.1 Diet- Study Notes- New Syllabus
CIE iGCSE Co-ordinated Sciences-B7.1 Diet – Study Notes
CIE iGCSE Co-ordinated Sciences-B7.1 Diet – Study Notes -CIE iGCSE Co-ordinated Sciences – per latest Syllabus.
Key Concepts:
Core
- Describe what is meant by a balanced diet
- State the principal dietary sources and describe the importance of:
(a) carbohydrates
(b) fats and oils
(c) proteins
(d) vitamins, limited to C and D
(e) mineral ions, limited to calcium and iron
(f) fibre (roughage)
(g) water - State the causes of scurvy and rickets
CIE iGCSE Co-Ordinated Sciences-Concise Summary Notes- All Topics
Balanced Diet
A balanced diet is one that provides all the nutrients in the right amounts to keep the body healthy and functioning properly. It should meet the body’s energy needs, support growth, repair tissues, and maintain overall health.
🌱Components of a Balanced Diet
| Nutrient | Role in the Body | Example Sources |
|---|---|---|
| Carbohydrates | Main source of energy for the body. | Rice, bread, pasta, potatoes |
| Fats | Concentrated energy source; insulation and protection of organs. | Butter, oils, nuts, fatty fish |
| Proteins | Build and repair cells and tissues; provide essential amino acids. | Meat, eggs, beans, fish |
| Vitamins | Regulate body processes and prevent deficiency diseases. | Fruits, vegetables, dairy |
| Mineral salts | Maintain functions like nerve impulses, bone strength, and blood formation. | Milk, spinach, nuts |
| Fibre | Aids digestion and prevents constipation. | Wholemeal bread, vegetables, fruits |
| Water | Hydrates body, transports nutrients, regulates temperature. | Water, fruits, soups |
⚡ Energy Needs
Energy comes from carbohydrates, fats, and proteins.
Fats provide most energy per gram, carbohydrates are the cheapest source, proteins are expensive but still provide energy.
Total energy must be enough to:
- Keep internal processes running (heartbeat, breathing)
- Maintain body temperature
- Support work, exercise, and growth
👶 Age & Gender Considerations
- Children need more energy for growth.
- Females generally need less energy than males due to lower body mass and different physical activity.
- Active individuals may need more energy than inactive people of the same age.
- Energy needs decrease with age due to slower metabolism and loss of muscle tissue.
✅ Quick Recap
Balanced diet = all nutrients in correct amounts.
Provides energy, growth, repair, and overall health.
Must include carbs, fats, proteins, vitamins, minerals, fibre, and water.
Energy needs vary with age, gender, growth, and activity levels.
Principal Dietary Sources & Importance of Nutrients
A balanced diet must provide all essential nutrients in the right amounts. Below is a detailed look at the key nutrients, their sources, and why they are important.
1. Carbohydrates 🍞
Principal sources: Rice, potatoes, bread, maize, cereals, sugar (sucrose), fruits.
Importance:
- Main source of energy (1 g carbohydrate → ~16 kJ).
- Excess converted to glycogen (stored in liver/muscles) or fat (stored in adipose tissue).
- Provides dietary fibre indirectly (from cellulose in plants) for healthy digestion.
2. Fats & Oils 🥑🧈
Principal sources:
- Animal fats: butter, milk, cheese, egg yolk, fatty meat.
- Plant oils: olive oil, sunflower oil, palm oil.
Importance:
- Concentrated energy source (1 g fat → ~37 kJ).
- Stored as adipose tissue for long-term energy.
- Insulates body & protects organs.
- Forms part of cell membranes.
3. Proteins 🥩🥚
Principal sources: Meat, fish, eggs, milk, cheese, soybeans, nuts, seeds.
Importance:
- Build and repair cells, tissues, muscles, enzymes, and blood.
- Supply essential amino acids not produced by the body.
- Can provide energy if needed (1 g → ~17 kJ).
- Deficiency can cause kwashiorkor (protein malnutrition) or marasmus (protein + energy malnutrition).
4. Vitamins 🍊☀️
| Vitamin | Source | Importance | Deficiency Disease |
|---|---|---|---|
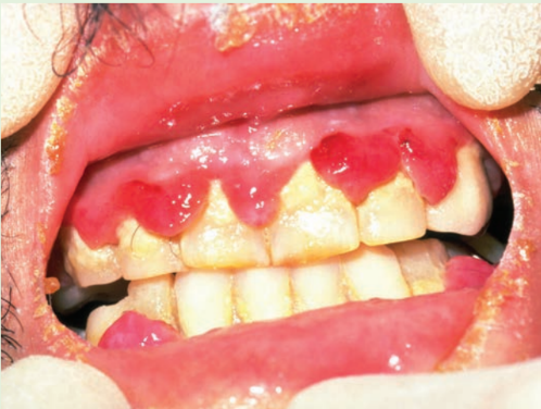
| C (Ascorbic acid) | Oranges, lemons, grapefruit, tomatoes, green vegetables, potatoes | Needed for collagen formation, tissue repair, acts as antioxidant | Scurvy: bleeding gums, poor wound healing, weak connective tissue |
| D (Calciferol) | Butter, milk, cheese, egg yolk, oily fish, sunlight | Helps absorb calcium & phosphorus; bone formation | Rickets: soft, deformed bones in children; Osteomalacia in adults |
5. Mineral Ions 🧂
| Mineral | Source | Importance | Deficiency Effects |
|---|---|---|---|
| Calcium (Ca²⁺) | Milk, cheese, hard water, green vegetables | Forms bones & teeth, aids blood clotting, muscle contraction, nerve impulses | Weak bones, poor clotting, rickets, osteomalacia |
| Iron (Fe²⁺/Fe³⁺) | Red meat, liver, eggs, spinach, nuts, brown rice | Component of haemoglobin, carries oxygen, needed for muscles & enzymes | Iron-deficiency anaemia: fatigue, weakness, pale skin |
6. Fibre (Roughage) 🌾🥦
Principal sources: Vegetables, fruits, whole grains, wholemeal bread.
Importance:
- Aids digestion and prevents constipation.
- Provides substrate for gut bacteria to produce fatty acids.
- Maintains healthy colon function.
7. Water 💧
Principal sources: Drinking water, fruits, vegetables, soups.
Importance:
- Main component of cells, cytoplasm, blood, lymph.
- Solvent & transport medium for nutrients, gases, and excretory products.
- Participates in digestion and metabolic reactions.
- Replaces water lost via sweating, urination, and breathing.
✅ Quick Recap
Carbs: Energy, glycogen/fat storage, fibre.
Fats & oils: Energy, insulation, cell membranes.
Proteins: Growth, repair, enzymes, amino acids.
Vitamins: C → collagen; D → calcium absorption.
Minerals: Ca → bones; Fe → haemoglobin.
Fibre: Digestion & colon health.
Water: Solvent, transport, metabolism, hydration.
Causes of Vitamin Deficiency Diseases
🍊 Scurvy
Cause: Deficiency of vitamin C (ascorbic acid).
Main Reasons:
- Lack of fresh fruits and vegetables.
- Diet mainly of preserved or processed foods low in vitamin C.
Effect: Poor collagen formation → bleeding gums, slow wound healing, weak connective tissues.
🦴 Rickets
Cause: Deficiency of vitamin D (calciferol) or insufficient calcium.
Main Reasons:
- Little exposure to sunlight (UV light needed for vitamin D synthesis in skin).
- Diet lacking vitamin D sources: butter, milk, cheese, egg yolk, oily fish.
- Poor calcium absorption due to low vitamin D.
Effect: Soft, weak, and deformed bones in children. Adults may develop osteomalacia.
💡 Quick Memory Tip
Scurvy: C → fruits & veggies → collagen issues.
Rickets: D + Ca → sunlight & dairy → weak bones.
